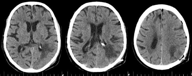
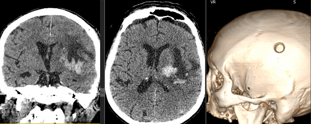
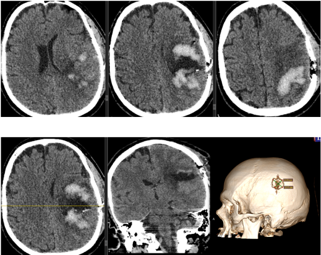
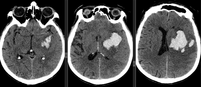
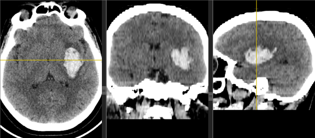
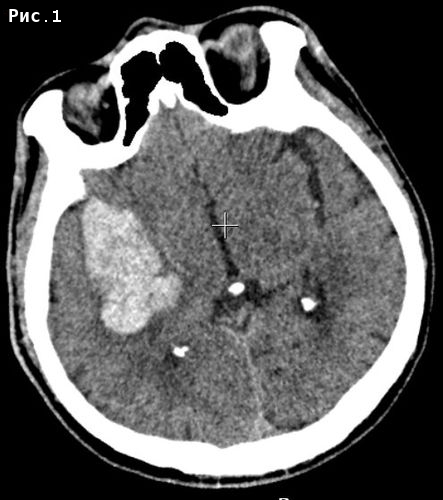
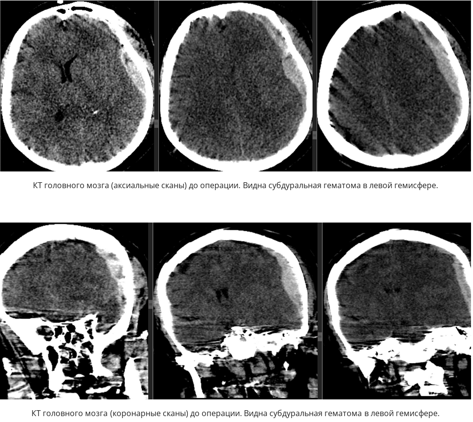
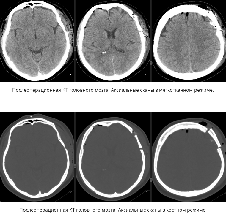
Инсульт удаление гематомы
Инсульт удаление гематомы 108 фотографий
Правила подключения к инженерным сетям
Гимнастика после сна старшая группа апрель
Прямые вакансии в польше
Слушать песни спасибо что ты есть
Дэдди играть
Мотивация контроль постановка задачи
Откуда звонили 62
Ofd что это такое пришло смс
Стол разочарования
Архипо осиповка жилье авито
Через посуду можно заразиться гепатитом
Сайт налоговой посчитать патент
Погода в дзержинске на 14 неделю дней
Долго грузит компьютер что делать
Сайт избирательной комиссии удмуртской республики
Санг енг актион расход
Элджи телевизор смарт
Едем в свияжск
Фсбу 14 в пояснительной записке
Выявление сальмонеллеза









































































































