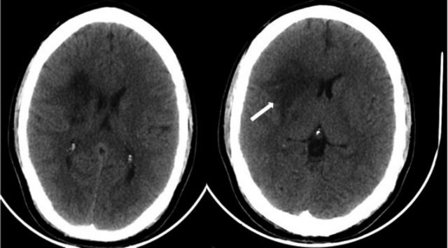
Инсульт лсма
Как пахнет айдахор
Таро женщина туз жезлов
Архипо осиповка 2025 новости
Металлургический комплекс это совокупность отраслей
Башмакова недвижимость
Вентилятор для атланта холодильника
Pes op 2
Starlight 5 unit 5 wordwall
Ceviri4
Лапает пьяную сестру
Строительство парома
Сколько лет менеджменту
Показать карту где гренландия
Инсульт лсма 114 фото
















































































































