Инсульт дарующий движения
Женщина 65 лет, которая многие годы страдает гипертонической болезнью, в 2014 году переносит инсульт по данным выписки из Луховицкой центральной районной больницы. По данным коллег инсульт происходит в бассейне лентикулостриарной ветви правой средней мозговой с развитием непроизвольных гиперкинезов. Со слов самой пациентки ее инсульт проявился не слабостью, а именно чудовищными неконтролируемыми гиперкинезами. Пациентку спасли и выписали домой. В последствии она получает несколько мнений коллег, которые бережно донесли до нее мысль, что это не лечится, и что “может пройти со временем”.
Следующие 7 лет живет в ожидании, попутно впадая в депрессию, теряя сон от неконтролируемых движений ноги в положении лежа, постепенно стирая зубы от бруксизма на фоне которого у нее развивается хроническая головная боль с лекарственным абузусом. Что интересно, пациентка рассказывает о неком “прогрессировании” своего состояния, что подтверждает семья.
Естественно была попытка получить второе мнение. Коллега высказался о наличии болезни Паркинсона, назначил мидантан, который не принес эффект. Заключение нам не было предоставлено, данное событие мы описываем со слов пациентки. Конечно же, мы уверены, что коллега мог не иметь в виду именно болезнь Паркинсона.
При дополнительном опросе, пациентка рассказала об ужасном качестве ночного сна. Сон был продолжительностью до 2-х часов, при этом движения во сне сохранялись, отчасти сон был нарушен учащенным мочеиспусканием.
ФРАГМЕНТ осмотра до лечения
Речь с умеренной дизартрией и непроизвольными вокализациями. Отмечается множество орофациальных гиперкинезов. Пациентка не могла удерживать язык более 5 секунд. Отмечается левосторонний хорео-баллизм.
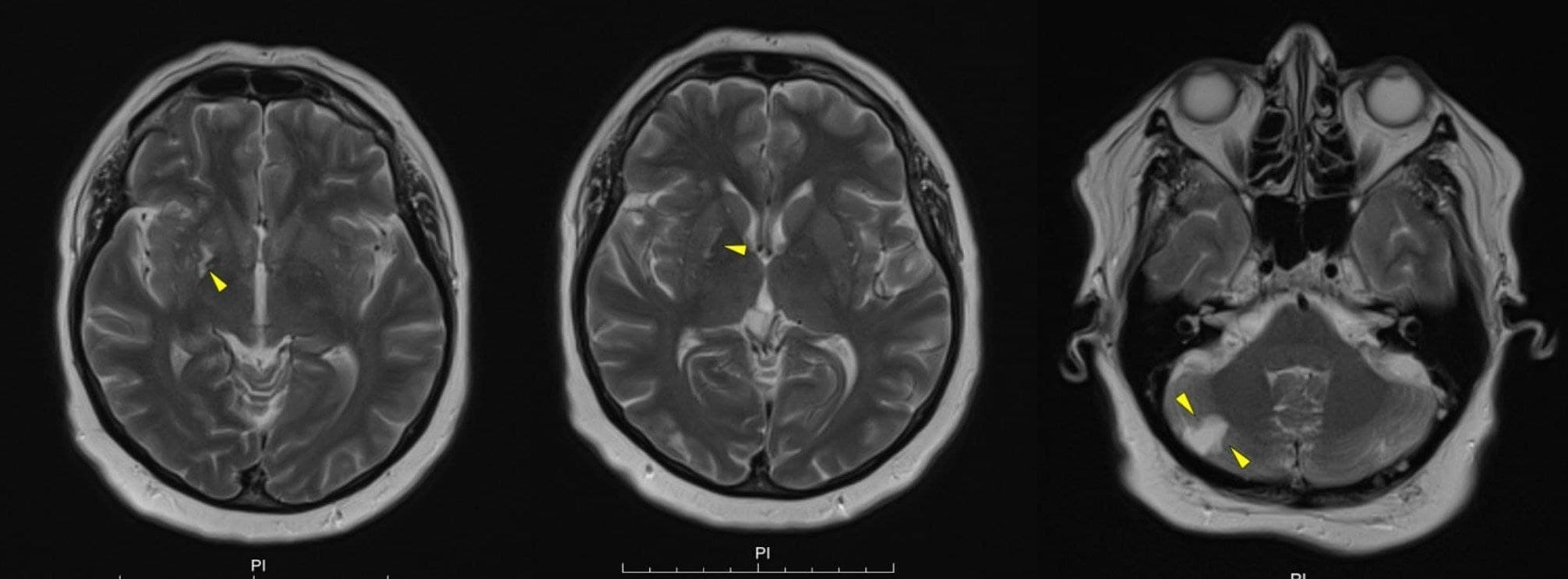
МРТ головного мозга (выполнено после получения лечения)

Кисто-глиозные изменения в области правой скорлупы и правом полушарии мозжечка. Надо отдельно сказать, что МРТ стало доступно к выполнению только на фоне лечения.
О проблеме
Речь идет о постинсультных двигательных нарушениях, в частности о хорео-баллизме. Это достаточно любопытное и не распространенное осложнение инсультов. Инфаркт мозга обычно бывает миниатюрным, но в стратегически важном месте - базальных ядрах. В своем классическом варианте - в субталамическом ядре.
В случае с нашей пациенткой очаг расположился в скорлупе что, тем не менее, не противоречит общей идее о патогенезе ее двигательного нарушения.
О лечении
Природа ее болезни заключается в потере контроля и “отбора” нужных двигательных программ, в связи с чем отмечается обилие “неотфильтрованных” движений, что и нарушает общую гармонию.
Из того что нам известно о структуре и физиологии двигательных центров, дофамин - облегчает движения и является, по сути, основным регулятором движения (говоря “простыми” словами, да простят меня коллеги паркинсонологи). И в случае с непроизвольными гиперкинезами, основной точкой приложения является рецепторы на дофамин, антагонист которого мы и ввели в организм пациентки.
ФРАГМЕНТ осмотра на фоне лечения препаратом оланзапин
Об исходе
Сегодня мы продемонстрировали Вам классический случай пациента с последствиями инфаркта мозга в бассейне лентикулостриарных артерий справа с развитием гемихореи, бульбарного аффекта и инсомнии.
В итоге терапии головная боль, нарушение сна полностью разрешились. Сон стал 6-8 часовым, что привело к улучшению дневной мобильности, эмоциональная лабильность стало существенно меньше, уменьшился бруксизм (жевательные мышцы более не были болезненны при пальпации), пациентка стала более активной не только в пределах квартиры, но и стала выходить за ее пределы.
О выводах
Не смотря на развитость неврологии и доступность лечения (стоит справедливости ради сказать, что на данный момент многие препараты назначаются off label), многие пациенты пока не получают помощи. Причины мы обсуждать не будем.
Мы очень надеемся, что случай нашей пациентки будет показательным и поможет большему количеству пациентов получить помощь и улучшить качество жизни.
Коллег, которые испытывают сложности в лечении пациентов с подобной симптоматикой мы призываем к сотрудничеству.
Сложные случаи обычно решают за спиной пациентов, за круглым столом коллегиальности.
Всем Мира.
Обновление!
В течении следующих 2х месяцев наблюдения на изменной дозе медикаментов, пациентке удалось вернуть функцию руки и медленно, но верно начать использоваться ее в быту!