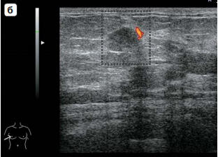
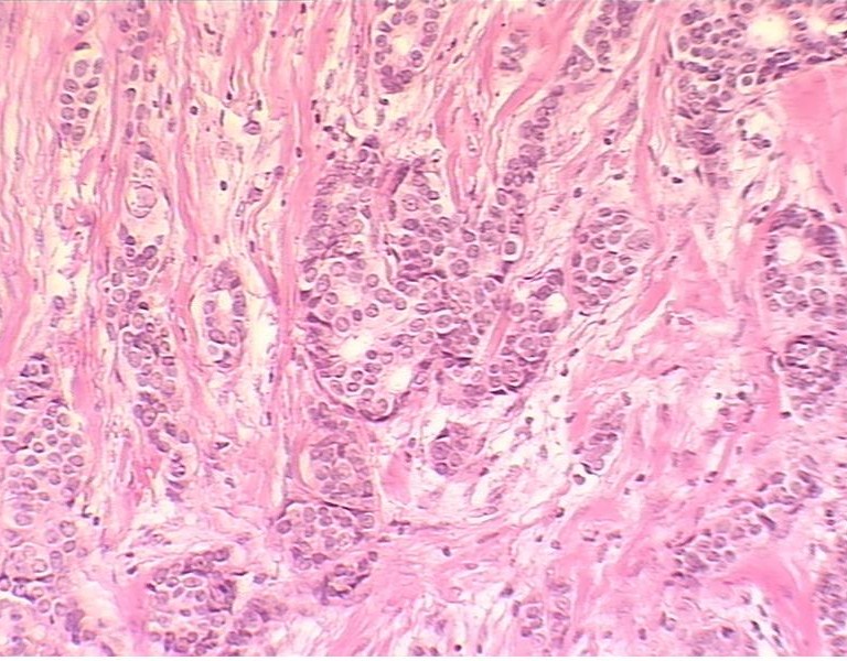
Инфильтративный Рак Молочной Железы Фото
Инфильтративный Рак Молочной Железы Фото 111 фото
Самые Красивые Цветы В Мире Фото
Фото Дерева Липы Цветущей
Крыльцо Дома Из Бетона Фото
Дита Фон Тиз Фото В Нижнем Белье
Картинки С Днем Мудрых И Молодых Душой
Фото Свечей Для Обрядов
Порно Фото Русских Деревенских Б
Красивые Места России Фото
Частное Фото Голых Матюр
Жуки С Рогами Фото И Названия











































































































