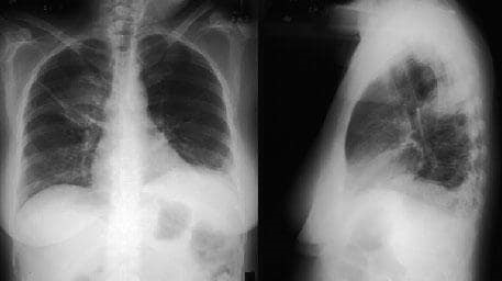
Инфильтрация Легких Фото
Инфильтрация Легких Фото 112 фотографий
Нарисованная Одежда Фото
Кот Бенгальской Породы Фото Цена Купить
Фото Андрея Медведева
Фото Стоячего Хуя
Домашняя Птица Виды Фото
Мастика Пошаговый Рецепт С Фото
Шпиц Линька Щенков Стадии Фото
Скрепиши Три Картинки
Купить Дом В Ртищево С Фото
Арт Фото Компания












































































































