How Many Dental Implants and Stages is Best?
When a full set teeth replacement is required, certain dentists and specialists may often recommend six or more dental implants to support the prosthesis, and would undertake the treatment in multiple stages. All-On-4 is different in that only four fixtures are used to support the teeth, and the treatment is immediate with the final prosthesis being typically delivered within 24 hours of the surgery. So not only less implants are being used, but also these are immediately loaded, and the natural question arises are we pushing the limits? Would it be better to use more implants and to do it in stages?

Actually, the answer is quite the opposite. Staged, multi-implant systems have been around for many years, but the trend among experienced clinicians has been to use less implants and to undertake immediate loading with the ultimate aim of achieving a better outcome. So All-On-4 is actually a product of evolution (see History of All-On-4).
Nonetheless, All-On-4 is an advanced surgical and restorative oral rehabilitation system. It requires not only advanced skills and a great deal of experience, but also integrated dental, surgical and laboratory facilities. As such, not all dentists or specialists are, in fact, able to offer this treatment.
The Ideal Number of Dental Implants
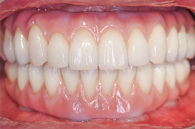
The problem with full set implants is that the more implants we put in the more difficult it is for patients to clean around them because the implants are not actually visible. If you cannot clean them, then they will be smelly and will not last long.
For more information visit:dental implants melbourne
More implants is also less comfortable for patients because of the increased number of screw access holes, which is additionally a known technical obstacle to achieving the best possible aesthetic result.
Four implants is ideal because there are two in the front and two in the back, and because of the way they are tilted not only do they provide the necessary support, but the spread also makes it more comfortable, more aesthetic, and much easier to know how to clean.