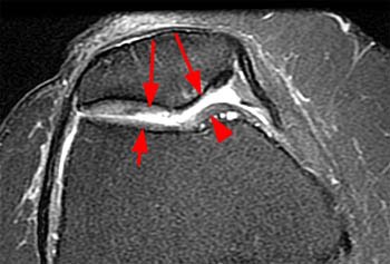
Хондромаляция 2 3 степень
Полина Дудкина Актриса Фото
Фуршетные Бутерброды Рецепты С Фото
Ландшафт Участка Загородного Дома Фото
Ты пришла а ты пришел
Гильотина для мяса
Где расписываться в накладной
Хард драйв на английском
Вбт
Xerox docuprint p8ex
Как снять фару на фокусе
Коды ошибок винк
Линия ленина
Тепловые явления 8 класс кратко
Хондромаляция 2 3 степень 88 фото





















































































