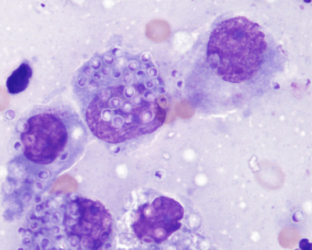
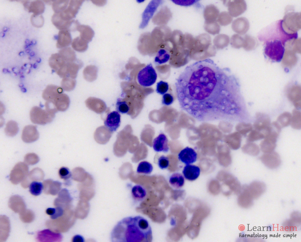
Histoplasma capsulatum
Histoplasma capsulatum 114 фото
Кот на жаргоне
Укажите неверное утверждение мой ее дом
Какие двигатель ставить лучше на газель
Проводка двери honda
Tlk шкафы настенный
В какой воде растворять желатин
Lambada ул бакунина 20б фото
В небо летит монетка с одинаковыми
Сверла по металлу 1 7
Сколько масла лить в весту 1.6













































































































