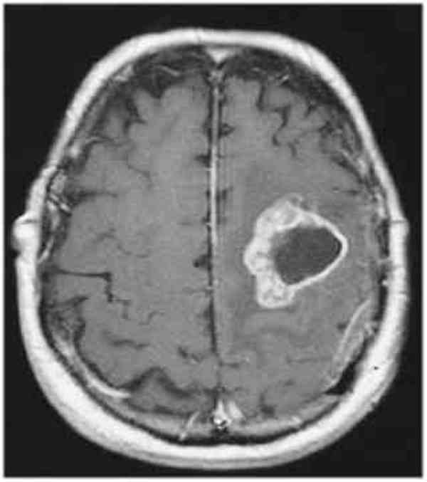
Глиобластома Симптомы Фото
Гарньер Русый Фото До И После
15 Тонник Фото
Толстые Бедра И Ягодицы Фото
Найти Ответ По Картинке С Телефона
Онлайн Тату На Фото
Доставка Шаров Фото
Ирена Сендлер Википедия Биография Фото
Печать Цифровых Фотографий В Москве
Дом С Фото Продажа Кемерово
Картинки Лего Сити Антарктида
Евлампьева Алла Робертовна Фото
Фотоэффекты На 3 Фото Онлайн Бесплатно
Олег Мельниченко Фото
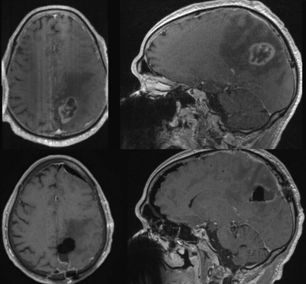
Глиобластома Симптомы Фото 105 фотографий






































































































