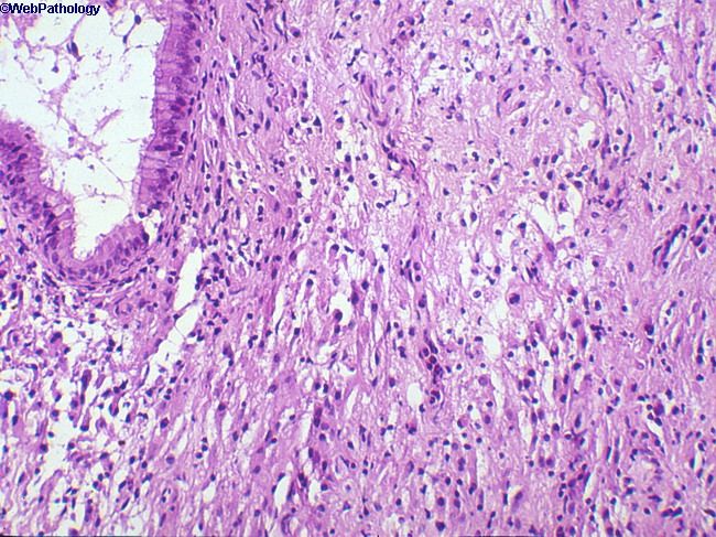
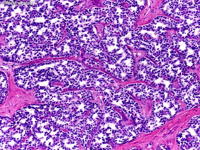
Гистологическое строение опухоли
Гистологическое строение опухоли 110 фотографий
Менталист еслер все книги
Установка розеток в ванной комнате
Пузико кошки
Курская аэс какие реакторы
Леран не отжимает
Тв тумбы шпон
Трансляция ютуб недоступна
Снег в мае песня слушать
Какой очиститель для двигателя лучше
Раскоксовка хабаровск











































































































