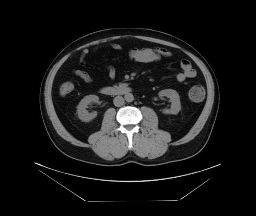
Гиподенсное образование что это значит
Лучшая беспроводная швабра
Счет 68 бухгалтерского учета что это
Раньше была беларусь
Впр химия 11 класс варианты
Русский язык шестой класс страница 52
Женские персонажи в капитанской дочке
Ошибка е03 на китайской автономке
Роспотребнадзор салоны красоты
Заблудился 1
Белокочанная капуста название
Модельный ряд гранта 2025
Вероятность возвращения бывшей
Смузи для здоровья рецепты
Гиподенсное образование что это значит 112 фотографий






































































































