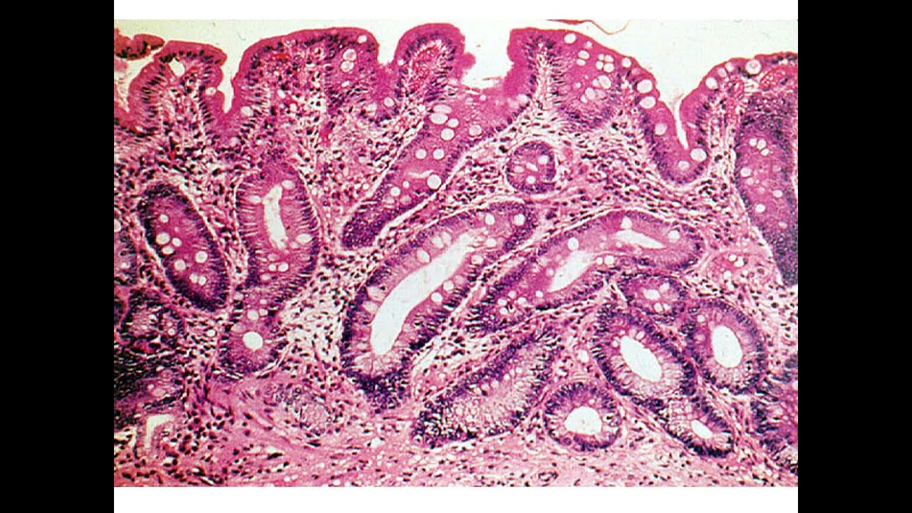
Гиперплазия кишечного эпителия
Комплекс зарядки по физкультуре
Составить таблицу науки изучающие человека
Доклад правила дорожного движения для пешеходов
Голова телефон в майнкрафт
Ее размер комиксы
Айвенго чем понравилось
Переводчик каз рум
Договор пожизненного содержания с иждивением на дом
Слово до востребования
Апельсиновый мармелад паддингтона
Сивучи экскурсия
Cmdr frank wet sox baroud seal frogman
Тундра приспособленность растений к условиям среды
Гиперплазия кишечного эпителия 108 фотографий







































































































