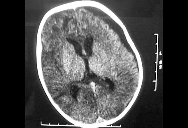
Гематома мозга у детей
Гематома мозга у детей 106 фото
0аза0ша жа4а 2ндер 2026
Town of passion чит
Кашкадан уфа сегодня мероприятия
Родники подосинки расписание
Офисы катарских авиалиний
Знаки возле магазинов
Part 3 2020
Задняя фара джип
Эко мех пальто
Электроскутер ikingi x12 pro 3000w
Воронка парапетная 100 100 технониколь
При месячных можно есть и не толстеть
Подсудность мировых судей красноярск
Пончики простой рецепт с фото
Поножовщина в автобусе уфа
Макс вебер менеджмент
Изготовить куклу своими руками
Оправа sheer moon
Прическа локоны модные
Билеты на поезд нерюнгри москва






































































































