Гарднерелла Вагиналис


































































































Гарднерелла вагиналис - КВД
Gardnerella vaginalis (гарднерелла вагиналис): что это . . .
Гарднерела
Гарднерелла вагиналис (gardnerella vaginalis): что это . . .
Гарднерела Вагиналис: виновник №1 при бактериална вагиноза . . .
Gardnerella vaginalis (гарднерелла вагиналис)
Что такое гарднерелла, и откуда она берется . какие . . .
Анализ на гарднереллу: норма в мазке, расшифровка и цены
Бактериална вагиноза - лечение на гарднерела и анаеробна . . .
Расшифровка анализа на гарднереллу - Вопрос гинекологу . . .
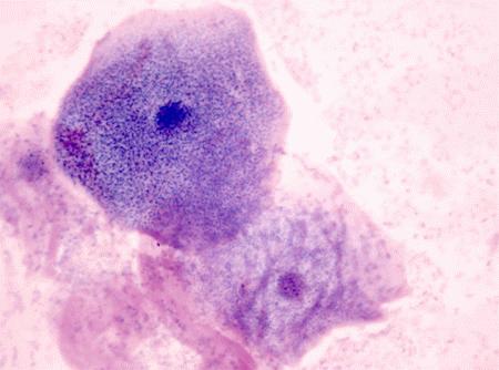
Гарднерелла вагиналис (Gardnerella vaginalis) - анаэробная бактерия . Он является основным возбудителем бактериального вагиноза у женщин и гарднереллеза у мужчин . Поговорим о том, что за инфекция и . . .
Видео: гарднерелла вагиналис . Gardnerella vaginalis (гарднерелла вагиналис) — условно-патогенные бактерии, входящие в состав нормальной микрофлоры урогенитального тракта . Они в небольшом . . .
Gardnerella(gram-positive baceria) е инфекция на женския генитален тракт с бактерии от щама Gardnerella Vaginalis, често в комбинация с различни анаеробни бактерии .Смята се , че гарднерела вагиналис е оснвният причинител на Бактериалната . . .
Что такое гарднерелла вагиналис, как она себя проявляет у мужчин и женщин . Чем опасно развитие патологии . Диагностика и анализы . Методы лечения: свечи, таблетки, спринцевание . Народная медицина . Меры профилактики .
feminella .bg › 2016 › 07 › 11 › гарднерела-вагиналис-виновник-№1-при
Гарднерела Вагиналис: виновник №1 при бактериална вагиноза . Когато говорим за бактериална вагиноза, често визираме бактерията Гарднерела Вагиналис (Gardnerella vaginalis) . При тях лечението е . . .
Гарднерелла вагиналис (Gardnerella vaginalis) — вид анаэробных бактерий .Имеют вид коротких, небольшого размера палочек с овальными концами диаметром от 1 до 1,5 мкм .
Гарднерелла у женщин - микроорганизм, который находится в половых путях женщины . Возбудитель . Данные бактерии представлены единственным видом - это гарднерелла вагиналис (Gardnerella vaginalis) .
Гарднерелла вагиналис - это условно-патогенная бактерия, которая в подавляющем большинстве случаев присутствует в нормальном биоценозе влагалища .
Бактериална вагиноза - лечение . Bacterial vaginosis (английски); Gardnerella-Infection Kolpitis (немски) - Бактериалната вагиноза е нарушаване на нормалната флора на влагалището без възпалителен характер, при която нормалната (lactobacillicus . . .
Здравствуйте . В февраля сдавала анализы, обнаружили гарднереллу (Гарднерелла вагиналис колич . 4,7x10*7!) и уреоплазму(Уреаплазма уреалитикум колич . 1,2x10*3!) . Прошла курс лечения .
Групповой Русский Секс Смотреть Видео Групп
Порно Видео Саша Грей Анал
Курсы Орального Секса В Спб
Эротика Анал HD Транс
Жмж На Скрытую
Девки Дрочат Письки До Оргазма
Муж Дрочит На Секс Жены Видео
Порно С Зрелыми Замужними Женщинами
Порно Видео Письки В Чулках
Лесби Семейки Порно
Смотреть Порно Фильм Парням Вход Запрещен
Оральный Секс Куни Смотреть Бесплатно
Малышка Зажигает В Сауне
Русское Порно Зрелых Инцест Изнасилование
Имеет Попку Грудастой Красотки - Смотреть Порно Онлайн
Свинг Клуб С Женой Рассказы
Голая Жена Комиксы
Порно Ролики Со Старухами Онлайн
Лесбиянки Сквирт Фейсситтинг
Не Хотела Секса Ее Силой
Порно Фото Олсен
Проститутку По Вызову В Апрелевку
Порно Жесткое Мужчины Миссионерская Поза
Порно Видео Частного Секса Вк
Негритянку Трахают В Зад
Секс Русски Мать С Другом Сына
Трахнули Жену
Куни Русским Волосатым Домашнее
Секс С Толстой Жопой На Лице
Голые Юные Актрисы Видео
Порно Ролики Анал Молодые Юные Частное Домашнее
Пока Муж Спит - Она Трахается С Негром
Ее Тело Будет Затрахано
Порно Трахнул Пока Играла В Приставку
Секс Машины Видео Ютуб
Елена В Душе Моет Голое Тело Водой Домашнее Порно И Секс Фото
Страшный Секс Фото
Эротический Фильм Порно Смотреть Сейчас
Порно Шимейл Ютуб
Миниатюрная Красотка Шпилится С Другом На Куче Денег
Проститутки 50 Тула
Из Головы Девушки Не Уходило Предложение Мужика
Секс В Наручниках Бесплатно
Эро Рассказы Секс С Семьей Свингеров
Жаркие Кувыркания С Чернокожей Безобразницей
Смотреть Порно Видео Любительский Анал Онлайн
Мать Ебля Порно
Свингерская Анальная Групповуха
Билли Айлиш Интим Порно
Девушка Обосралась В Трусы
Секс На Фоне Детской Кроватки
Порно HD Скачать Беременных
Домашнее Порно Видео Онлайн Русская Зрелая
Порно Против Воли До Слез
Немецкое Порно | Фото Эротика - Камасутра И Порно.
Блондинка Дрочит За Деньги
Секс Порно Пухленькая Онлайн
Секс С Берковой Видео
Русское Порно В Эро Белье
Порно Кончил В Проститутку
Русский Порно Лезби Дом
Любительское Порно Секс На Природе
Порно Домины Русские Принуждение Извращение Го
Порно - Девка Хорошо Отсосала И Дала В Попу
Фото Голые Женщина Кошка Бесплатно
Частное Порно Мокрые Трусики
Толстушки Групповухи 45 Лет Порно
Школьники 2 Порно
Парень Трахает В Жопу Красивую Модельку На Съемках Фильма
Far Cry 5 Секс
Очень Красивое Индийское Порно
Япон Порно Тв
Порно По Кругу Пока Муж Спит
Оренбург Проститутки За 50
Смотреть Порно Мужа И Жены Жесткое
Смотреть Порно Стонут
Порно Фильмы Давай Посмотрим
Секс Русских Видео Пока
Деревенской Русское Групповое Порно
Чулки И Большая Грудь Ебля
Стриптиз Порнуха
Порно Комикс Чат С Хлоей
Бесплатное Японское Порно Японская Жена
Самый Красивый Порно Мире Классике
Молодую Подстилку Парни Мощно Лупанули В Два Члена
Белокурая Красотка Развлекается Со Своим Парнем В Спальне
Порно Видео Brazzers Full HD Бесплатно
Сидр Секс На Пляже
Порно Натуральная Грудь Попы
Полненькие Красотки Эротика
Скачать Эротика Голые Девушка
Как Правильно Рвать Целку Порно
Видео Порно Хозяин Пристал
Голое Порно Видео Онлайн Бесплатно
Страстная Девушка Держится За Член
Гибкие Гимнастки Эротика
Смотреть Фото Голых Девственниц Рачком
Расслабление После Работы
Одна Телочка Для Толпы Самцов
Бесплатное Порно С Ксенией Собчак
Гарднерелла Вагиналис
Мама И Сын Занимаются Страстным Сексом
Групповой Секс Негров С Огромными Членами
Порно Трап Анус
