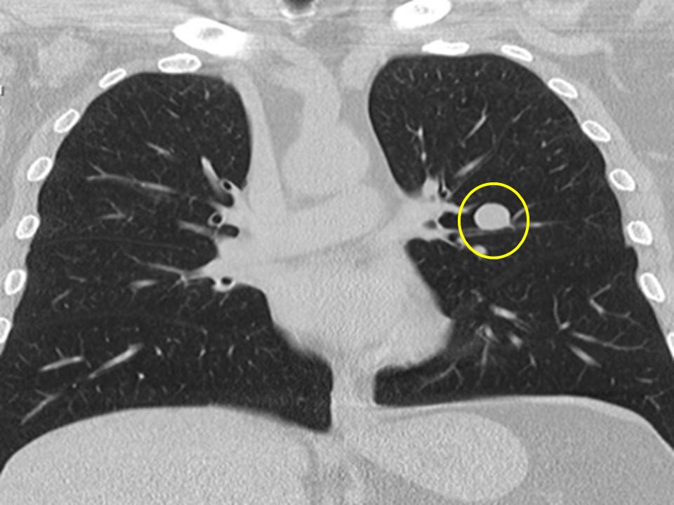
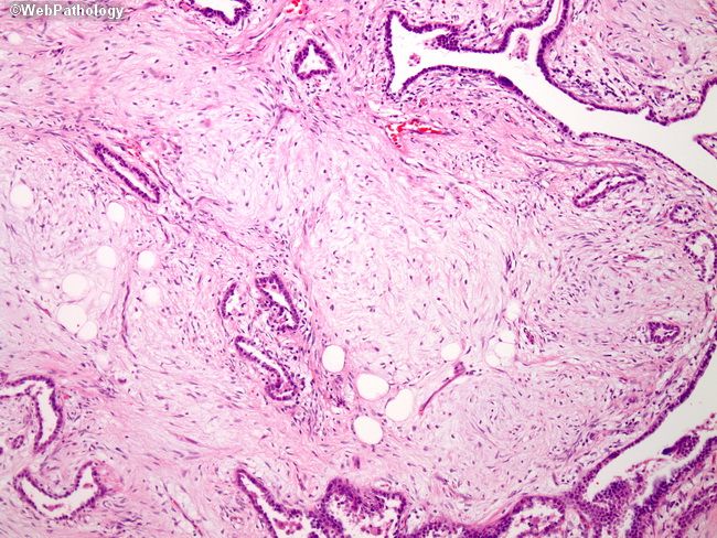
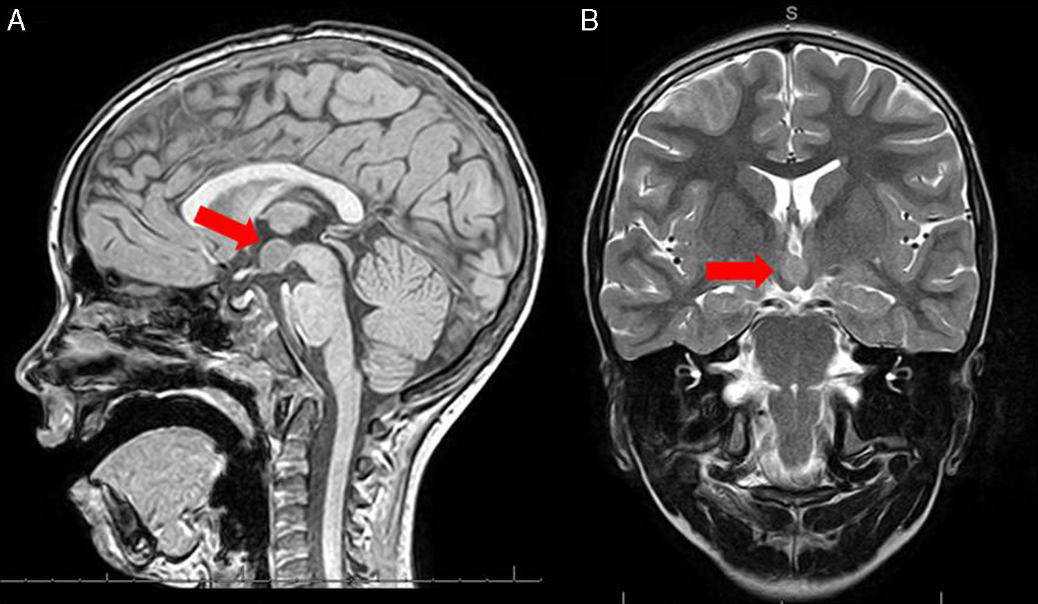
Гамартома удаление
Апарт отели в москве посуточно
Asus elan
Электрическая передача переменно переменного тока
Лампа настройка медиа стейшен
Гепаксид аналоги
Воздвижение молитва
Замок багажника на форд мондео
Демкина 7
Мазепин формула 1
Каталог ножей братьев касаткиных
Сонария гайд
Программ а орле
Рюкзак который держит форму
Гамартома удаление 112 фото











































































































