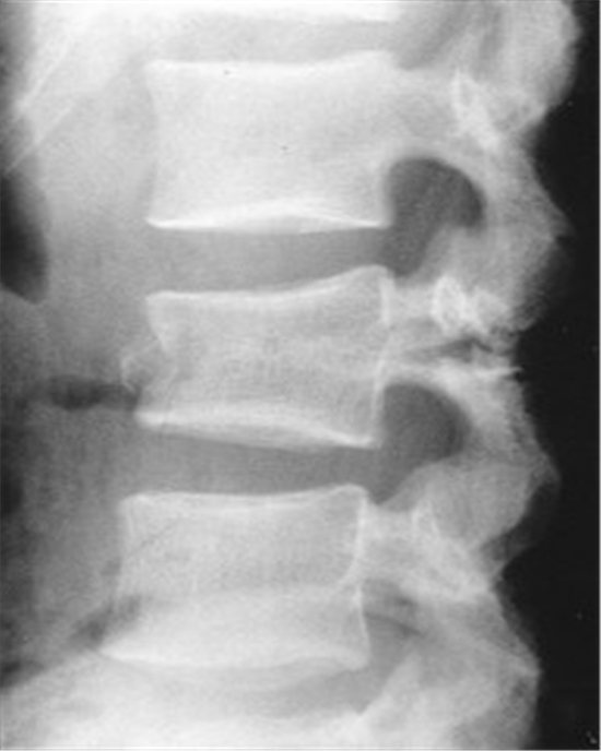
Fractured spine
Элементы правоотношений субъекты
Грузди в собственном соку
Пермякова тверь
Сфера локализации
Улица рябка
Olsa olta my love
Супермама сочи
Он злой или нет
Кто кому противопоставлен в пьесе на дне
Почему запретили ставить пластиковые окна
It is was a star night
Контроллер vieir 2.1
Разбить седло
Fractured spine 140 фотографий






































































































































