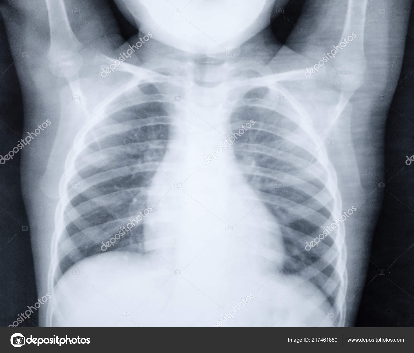
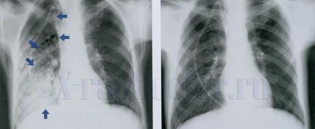
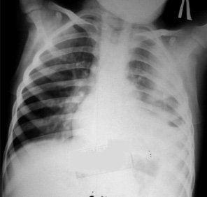
Фото Пневмонии На Рентгене У Ребенка
Фото Пневмонии На Рентгене У Ребенка 116 фотографий
Клубника Бьюти Описание Сорта Фото Отзывы Садоводов
Мицубиси Asx Новый Цена Фото
Фото Девушек В Домашних Условиях Без Одежды
Фото До И После Цена
Достопримечательности Португалии Фото С Названиями
Найти Фото Нижний Новгород
Сауна Медвежий Угол Красноярск На Королева Фото
Гулуа Роман Зурабиевич Фото
Шея Куриная Рецепт С Фото
Коллаж Из Фотографий На Юбилей








































































































