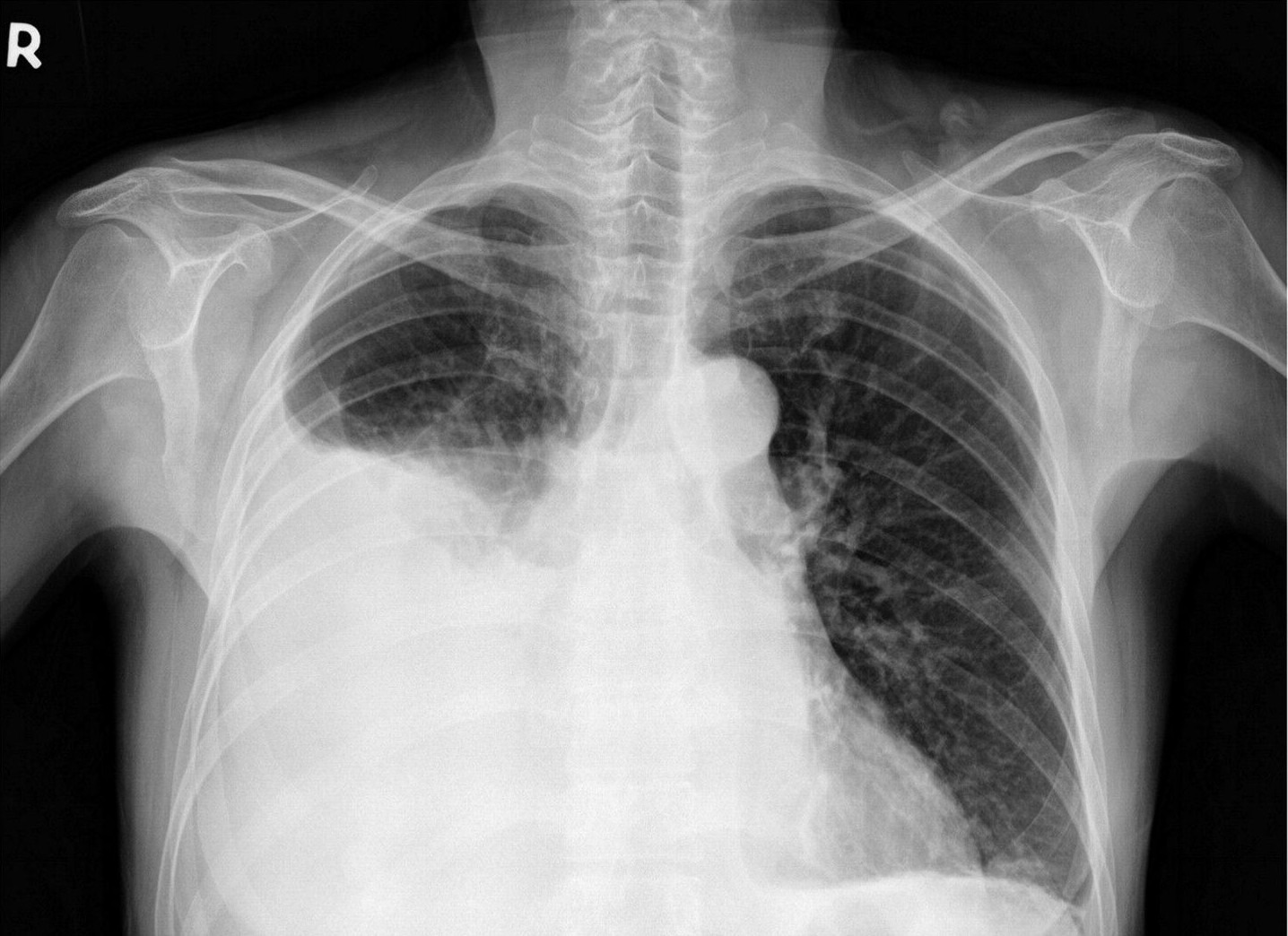
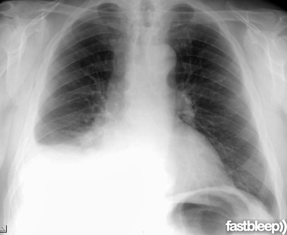
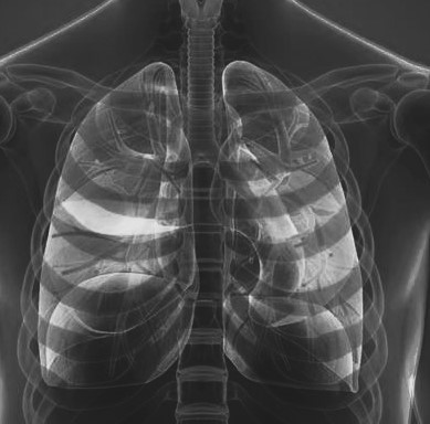
Фото Плеврита Легких
Фото Плеврита Легких 135 фотографий
Творожный Кекс С Пошаговым Фото
Ретро Фото Девушек Безо Одежды 19 Века
Павел Санаев Бабушка Фото
Фото С Букетом Роз Девушка Позы Дома
Картинки Рыбки Ариэль
Краеведческий Музей Тверь Официальный Сайт Фото
Съедобные Грибы Хвойного Леса Фото И Название
Кровать В Спальне Фото
Хорошая Кардиограмма Сердца Фото И Плохая
Ты Теперь Бабушка Поздравляю Картинки
































































































































