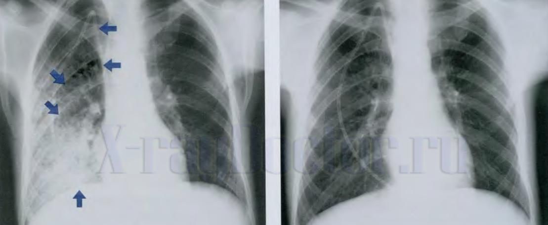
Фото Коронавирусной Инфекции
Яна Бастрикова Фото В Купальнике
Цветные Натяжные Потолки Фото
Защитные Очки Картинки
Пк Видит Iphone Но Не Видит Фото
Купить Скинали В Минске Фото
Женщина С Фотографии Энни Уэст Книга
Кованые Раздвижные Ворота Фото
Татуаж Бровей В Брянске Фото
Картинки С Иконами И Пожеланиями Здоровья
Картинки Мотоциклов На Рабочий Стол Телефона
Тойота Камри 2010 Года Фото
Фото Тани Орловой Из Саратова
Азу Из Говядины Фото
Рентген Легких При Пневмонии Фото Коронавирусной Инфекции 117 фото















































































































