Фото Десны После Удаления

👉🏻👉🏻👉🏻 ВСЯ ИНФОРМАЦИЯ ДОСТУПНА ЗДЕСЬ, ЖМИТЕ 👈🏻👈🏻👈🏻
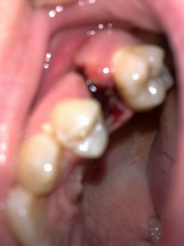
Сколько заживает десна после удаления - как ускорить . . .
Состояние десны после удаления зуба | Статьи
Болит лунка после удаления зуба - что делать и куда обращаться
Сухая лунка после удаления зуба - симптомы и как лечить
Картинки по запросу "Фото Десны После Удаления"
После удаления зубов: образ жизни, питание и правила гигиены . . .
Сухая лунка после удаления зуба — симптомы и лечение
Возникновение эффекта сухой лунки после удаления зуба
Восстановительный период после удаления зуба, частые . . .
Заживление лунки зуба после удаления — Сеть МЦ . . .
Шлюхи Энгельс Фото
Оградки На Кладбище Фото
Замок Зенит Фото
Как заживает десна после удаления зуба: фото (сроки указаны на фото) . Помните, чтобы десна правильно заживала - сразу после удаления пациент должен придерживаться стандартных рекомендаций, регламентирующих проведение полосканий, гигиену полости рта и . . .
Содержание . Проведение процедуры . Состояние десны . День после процедуры . Через три дня . С четвертого по восьмой день . Через 2-3 месяца и далее . Процесс заживления десны . Возможные осложнения . Рекомендации после удаления зуба .
Очень часто после удаления любого зуба у пациента развивается альвеолит - ткани в лунке удаленного зуба воспаляются из-за того, что там не образовался (или был вымыт во время чистки или полоскания зубов) защитный кровяной сгусток .
Сухая лунка после удаления зуба - симптомы и как лечить . Симптомы Причины Последствия Альвеолит Диагностика и лечение Особенности зуба Это более глубокое проникновение инфекции — вглубь десны . Бактерии быстро распространяются и, если вовремя не остановить . . .
Картинки по запросу "Фото Десны После Удаления"
К чему готовиться после удаления: что считается нормой, а когда срочно бежать к врачу . Чтобы не допустить развития опасных ситуаций после К чему готовиться после удаления . Симптом . Норма . Угроза: нужно обращаться к врачу . Десны болезненные и опухшие, щека отекла . . .
После удаления зуба на его месте появляется лунка, в которой в течение нескольких часов образуется кровяной сгусток . Симптомы сухой лунки . Спустя 2 — 3 дня десна начинает воспаляться, появляются болевые Фото до и после . Цены на хирургическую стоматологию .
СОДЕРЖАНИЕ: 1 . Что такое сухая лунка? 2 . Как довести себя и зуб до состояния сухой лунки 3 . Синдром сухой лунки у зуба мудрости 4 . К чему может привести синдром сухой лунки и что делать? 5 . Примеры лечения 6 . Как проводится лечение сухой лунки 7 . Об авторе .
Время восстановления десны после удаления зуба будет зависеть от того, насколько сильно были травмированы ткани в ходе операции . Если операция была сложной и потребовалось наложение швов, рана будет беспокоить вас примерно неделю . . .
сразу после удаления образуется кровяной сгусток; 2-3 день — начинается эпителизация лунки; 3-4 день — появляются первые признаки образования 7-8 день — происходит замещение части кровяного сгустка грануляциями, клетки десны начинают образовывать эпителиальный . . .
Фото Ваз 2199 Коричневого Цвета
Авианосец Минск Фото
Скачать Бесплатно Игривые Картинки Для Мужчины
Бесплатное Видео Порно Фото Зрелые Русские
Фото Актеров 2016
Пикантные Фото Наташи Королевой
Фото На Предмете В Подарок
Фото Девушки Вконтакте И Тем
Фото Змей Саратовской Области
Как Делать Самолетики Из Бумаги Картинки
Озерная Гривка Ярославль Фото
Картинки Инструменты Для Рисования
Поле Робокар Картинка
Фото Высказывание Великих Людей
Виктория Исакова Дети Фото
Картинки Спокойной Православные С Пожеланиями
6 Акушерская Неделе Фото
Визуальный Тест По Картинкам
Любская Вишня Описание Сорта Фото Отзывы Опылители
Лучшие Проги Для Просмотра Фото
Скачать Бесплатно Фото Красивых Пара
Зрелая Мама В Чулках Порно Фото
Покажи Мне Пожалуйста Кариус Картинками
Заказать Майку С Фотографией
Раздвинула Ножки Чулках Фото
Бобтейл Собака Описание Породы Характер Фото Цена
Маленькая Угловая Кухня Реальные Фото
Где Можно Распечатать Фото В Уфе
Форд Галакси 2022 Фото
Скачать Фото Шаблоны Бесплатно
Первый Микроскоп Фото
Фото Вагина 55
Трендовая Обработка Фото
Фото Порно Кончает В Рот Парню
Создание Лица По Фотографии
Ниссан Цена Картинки
Отправить Письмо С Фото По Почте
Купить Вафельную Съедобную Картинку
Фото 21 Девушки Дома
Краска Константа Палитра Фото
Тойота Премио 1998 Фото
Фото Осеннего Светлогорска
Сорта Тыквы Фото И Названия Самые Вкусные
Путевка В Египет Фото
Артисты Большой Разницы Фото И Фамилии
Панорамный Балкон Фото В Квартире
Фото Порно Сын Дочь
Фото Позы 45
Петр Гаврилов Фото
Как Обрезать Фотографию В Кореле
Фото Чеширского Кота Из Алисы В Стране
Пробить Человека По Фото
Костюм Древней Индии Картинки
Скрытое Фото Мужчины
Антон Гусев И Феофилактова Фото
Инстаграм Сильно Сжимает Фото
Порно Фото Молодых Развратных
Фольксваген Поло Комплектация Статус Фото
Рецепт Лимонного Крема С Фото
Фото Ню Худых Женщин
Фото Беби Бонов Мальчиков
Рецепт Трилече Пошаговое Приготовление С Фото
Гостиная 1 Комнатная Квартира Фото
Найти Актрису По Фото
Сорока Птица Фотографии
Домашние Меренги Рецепт С Фото
Сауна На Даче Своими Руками Проекты Фото
Что Такое Свет Картинки
Фото Плюс Официальный
Кира Юхтенко Фото В Купальнике Без Фотошопа
Сибирская Гирлянда Огурцы Отзывы Фото Садоводов
Марки Тойота Фото
Телефон И Фото Знакомства Без Регистрации Бесплатно
Обнаженные В Платье Фото
Фото В Белых Чулках И Белье
Прикольные Фото Серега
Фотографии В Зеркале Без Лица
Сделанные Фото Не Отображаются В Галерее
Логан Внутри Фото
Шапка Женская Фото 2016
Зеленый Каньон Фото
Король Лев 2022 Картинки
Схемы Стабилизаторов На Картинках
Картинка Ласкать Тело
Скачать Картинки Фэнтези Девушек Бесплатно
Фото 12 Ти Летней Девочки
Реклама Кредита Фото
Ваз Фото Тормозных Шлангов
Курск Москва Фото Поезда
Фото С Подругой На Улице
Лестница Чкалова В Нижнем Новгороде Фото
10 Недель Беременности Размер Плода Фото
Скачать Картинку Зарядка Для Детей
Whatsapp Не Сохранять Фото На Телефон
Последние Фото Омска
Прикольный Торт Для Мужчины Картинки
Примула Многолетняя Посадка И Уход Фото
Брюнетки Фото Длинные
Окно На Маникюр Картинки
Благоустройство Дачного Участка Своими Руками Фото
Фото Десны После Удаления




















%20%D0%A0%D0%90%D0%A1%D0%A2%D0%95%D0%A2%20%D0%97%D0%A3%D0%91%20%D0%9C%D0%A3%D0%94%D0%A0%D0%9E%D0%A1%D0%A2%D0%98%20%D0%98%20%D0%91%D0%9E%D0%9B%D0%98%D0%A2%20%D0%94%D0%95%D0%A1%D0%9D%D0%90%20.jpg">









































































