Фото 6
НемедицинаФотомикрография биопсии толстой кишки на 5-й день госпитализации, показывающая участки нормальной слизистой оболочки и участки грануляционной ткани у основания заживающих язв

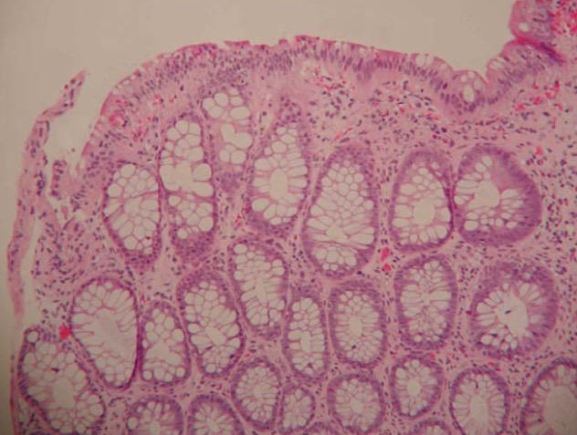
Фотомикрография биопсии толстой кишки на 5-й день госпитализации, показывающая участки нормальной слизистой оболочки и участки грануляционной ткани у основания заживающих язв
