Фото 4
НемедицинаПослеоперационный период, день 26.
a : При уретроскопии свищ полностью зажил.
б: Цистоуретрография мочеиспускательного канала не показала утечки контрастного вещества из кожно-уретрального свища.

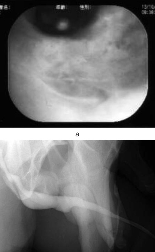
Послеоперационный период, день 26.
a : При уретроскопии свищ полностью зажил.
б: Цистоуретрография мочеиспускательного канала не показала утечки контрастного вещества из кожно-уретрального свища.
