Фото 3,4
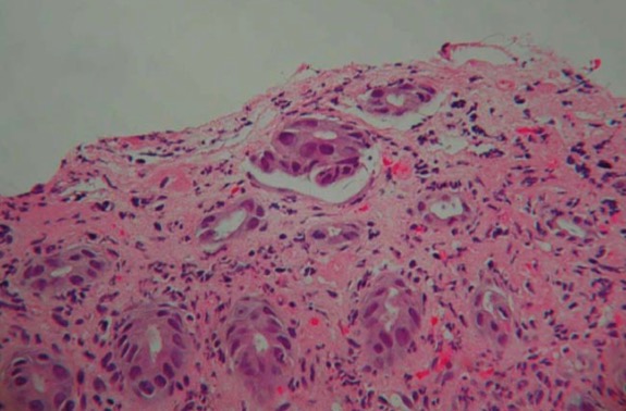
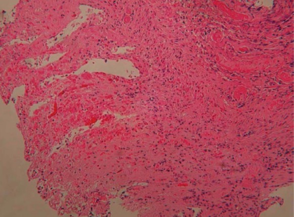
НемедицинаФотомикрография образца биопсии толстой кишки через 1 день после введения спиртовой клизмы, показывающая ишемизированные участки с повреждёнными железками, участки инфаркта слизистой оболочки и кровоизлияния.


Фотомикрография образца биопсии толстой кишки через 1 день после введения спиртовой клизмы, показывающая ишемизированные участки с повреждёнными железками, участки инфаркта слизистой оболочки и кровоизлияния.

