Фото 3
НемедицинаFigure 3. Рентгенограмма грудной клетки, выполненная через две недели после удаления презерватива, показывает разрешающиеся помутнение правой верхней доли.

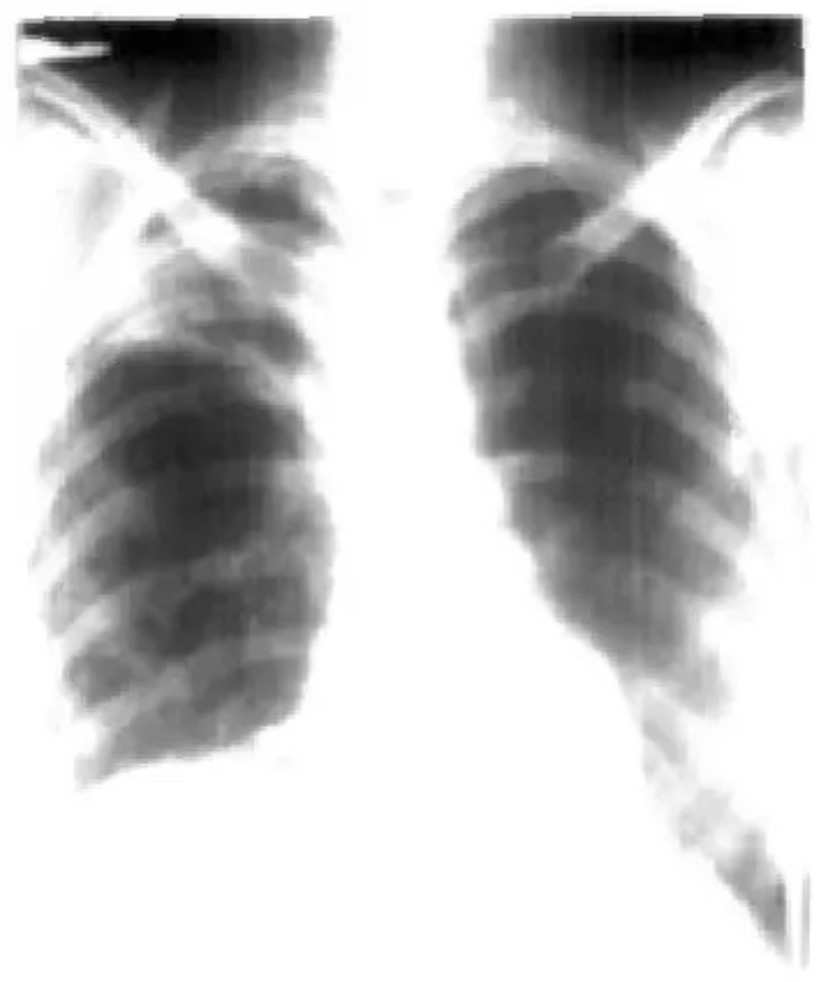
Figure 3. Рентгенограмма грудной клетки, выполненная через две недели после удаления презерватива, показывает разрешающиеся помутнение правой верхней доли.
