Фото 2 и 3
НемедицинаFigure 2. Коронарная компьютерная томография брюшной полости/таза со стрелками, указывающими на рентгеноконтрастное образование в форме таблетки в шейке матки, распространяющееся в матку.

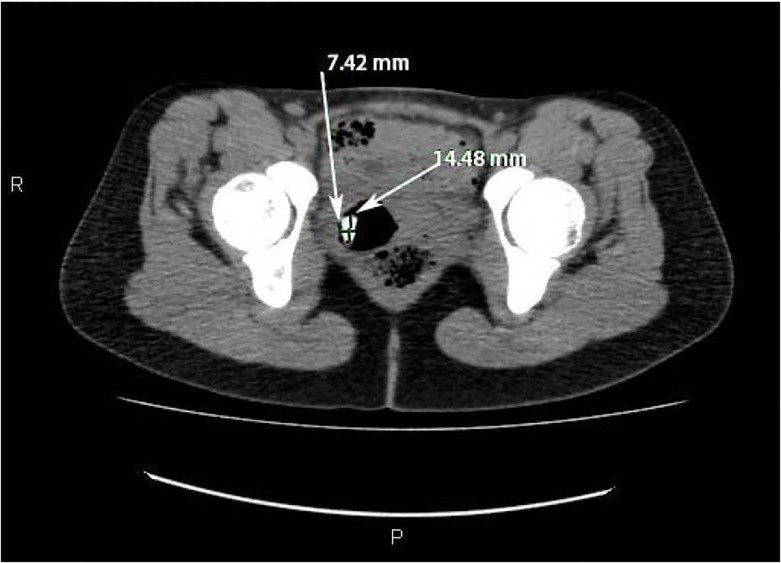
Figure 3. На аксиальной компьютерной томографии брюшной полости/таза стрелками обозначено рентгеноконтрастное образование в форме таблетки в шейке матки, которое распространяется в матку.
