Фото 2 и 3
НемедицинаFigure 2. Компьютерная томография грудной клетки с внутривенным контрастированием в коронарной области не выявила тромбоэмболии легочной артерии. Однако имеются умеренные, рассеянные, диффузные легочные "матовые пятна" и интерстициальные образования в легких. Красные стрелки указывают на легкое подкожное расслоение и отек плевры.

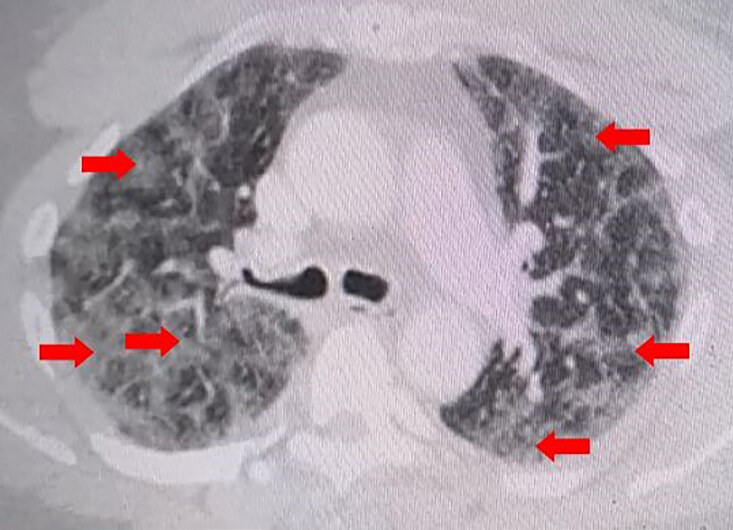
Figure 3. Компьютерная томографическая ангиография грудной клетки с внутривенным контрастированием в поперечном разрезе демонстрирует умеренное, рассеянное, диффузное воспаление легких и интерстициальные образования в легких без тромбоэмболии легочной артерии, как показано красными стрелками. Также имеются незначительные подкожные растяжения и эмфизема передней грудной стенки.
