Фото 2-4
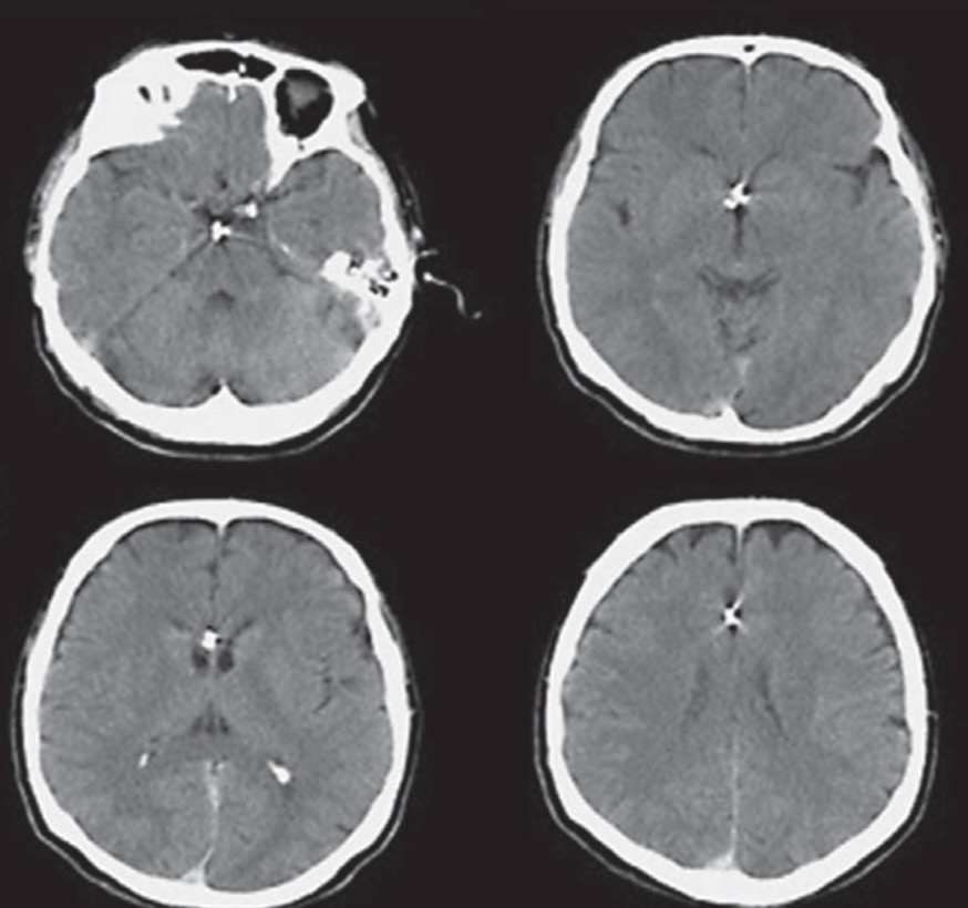
НемедицинаFigure 2. Аксиальные снимки компьютерной томографии, показывающие иглу в головном мозге.

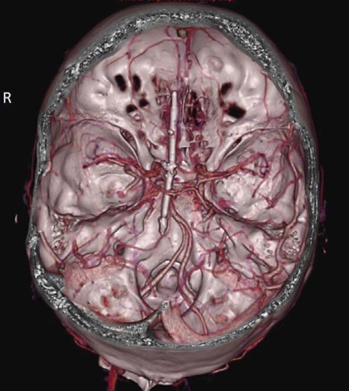
Figure 3. Осевой вид трехмерной компьютерной томографии, показывающий связь швейной иглы с сосудистыми структурами.

Figure 4. Сагиттальный срез трехмерной компьютерной ангиографии, показывающий связь швейной иглы с сосудистыми структурами.
