Фото 2

Фото 2

Немедицина

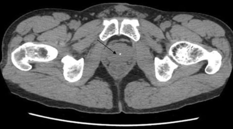
Компьютерная томография таза, демонстрирующая иглу, введенную спереди от ануса и сзади от корня полового члена

Немедицина

Report Page