Фото 2
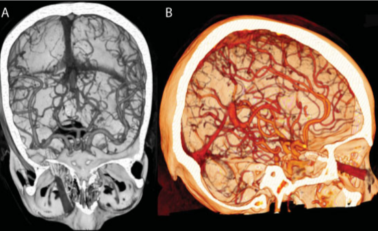
НемедицинаFigure 2. Трехмерная компьютерная томография, реконструкция ангиографии в разрезе. (А) Траектория движения инородного тела через верхнюю глазничную щель. Близлежащая бифуркация средней мозговой артерии (СМА) не повреждена. (Б) Вид сбоку. Головка зубной щетки смещает фрагмент клиновидной кости вбок.
