Фото 2
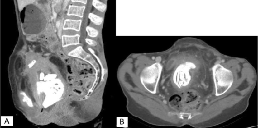
НемедицинаПостконтрастные изображения компьютерной томографии брюшной полости. а. Сагиттальное изображение, показывающее внутриутробные костные части плода и очаговое прилипание матки к передней брюшной стенке. б. Осевое изображение, показывающее множественные костные структуры плода и смещенный мочевой пузырь
