Фото 2
НемедицинаFigure 2. Компьютерная томография. На аксиальных и коронарных снимках брюшной полости с контрастированием видны трубчатые структуры в мочевом пузыре со сгустками крови, что наводит на мысль о пиявках

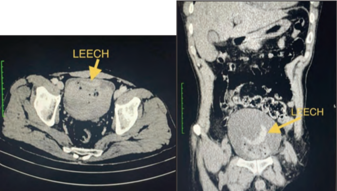
Figure 2. Компьютерная томография. На аксиальных и коронарных снимках брюшной полости с контрастированием видны трубчатые структуры в мочевом пузыре со сгустками крови, что наводит на мысль о пиявках
