Фото 2
НемедицинаFigure 2. Гистологический анализ кровоточащей области показал нормальную кожу без каких-либо гистопатологических изменений (окрашивание гематоксилин-эозином, увеличение × 20).

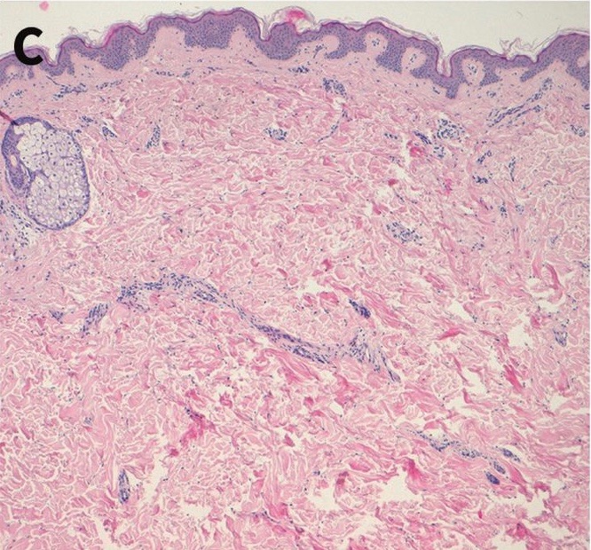
Figure 2. Гистологический анализ кровоточащей области показал нормальную кожу без каких-либо гистопатологических изменений (окрашивание гематоксилин-эозином, увеличение × 20).
