Фото 1-4
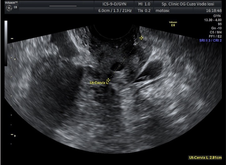
НемедицинаFigure 1. Трансвагинальное УЗИ у 28-летней женщины с левосторонней трубной эктопической беременностью через 8 лет после гистерэктомии.
Гетерогенное, чётко отграниченное образование малого таза с множественными кистозными структурами в непосредственном контакте с влагалищем и мочевым пузырём, без внутритканевой васкуляризации.

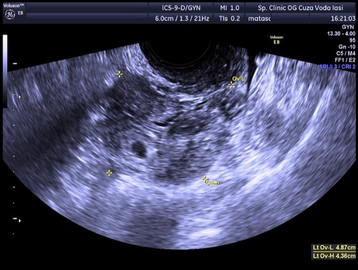
Figure 2. Трансвагинальное УЗИ: гетерогенное образование слева с центральной кистозной полостью, окружённой гиперэхогенным ободком.

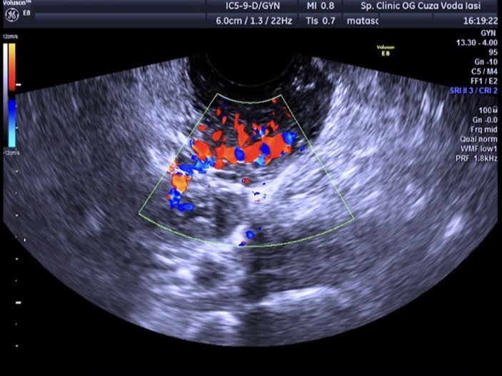
Figure 3. Трансвагинальное УЗИ: усиленный кровоток вокруг эктопической беременности с симптомом «огненного кольца», высокий пульсационный индекс.

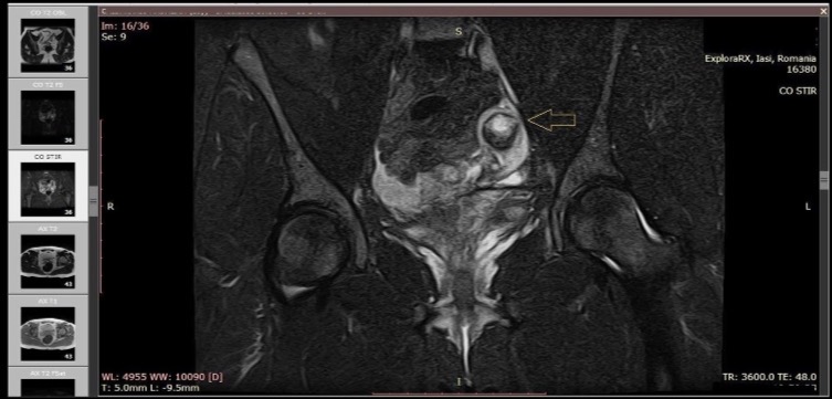
Figure 4. МРТ (режим STIR): эктопическая беременность в ампуле левой маточной трубы (стрелка) и остаточный фрагмент шейки матки в области влагалищного купола.
