Фото 1
НемедицинаFigure 1. Рентгеновский снимок почек, мочеточников и мочевого пузыря со стрелками, указывающими на область, в которой возможно наличие инородного тела.

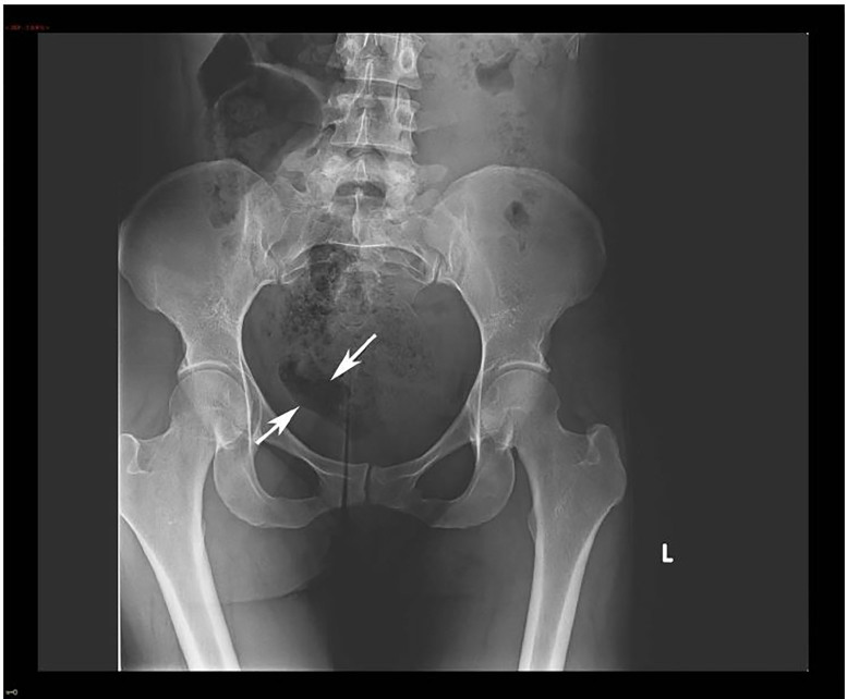
Figure 1. Рентгеновский снимок почек, мочеточников и мочевого пузыря со стрелками, указывающими на область, в которой возможно наличие инородного тела.
