Фото 1
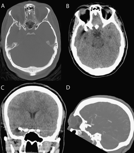
НемедицинаFigure 1. Предоперационная компьютерная томография (КТ) и компьютерно-томографическая ангиография (КТА) с повреждением правой средней ямки зубной щеткой.
(А) Аксиальная компьютерная томография с переломом правой клиновидной кости, на которой видны щетинки зубной щетки. (Б) Аксиальная компьютерная томография, на которой видна головка зубной щетки в передней части височной доли. Сопутствующего кровоизлияния не обнаружено. (В) Коронарный снимок, демонстрирующий кончик зубной щетки рядом с передним клинообразным отростком. (Г) Боковая компьютерная томография показывает близость инородного тела к бифуркации правой средней мозговой артерии (СМА).
