Фото 1
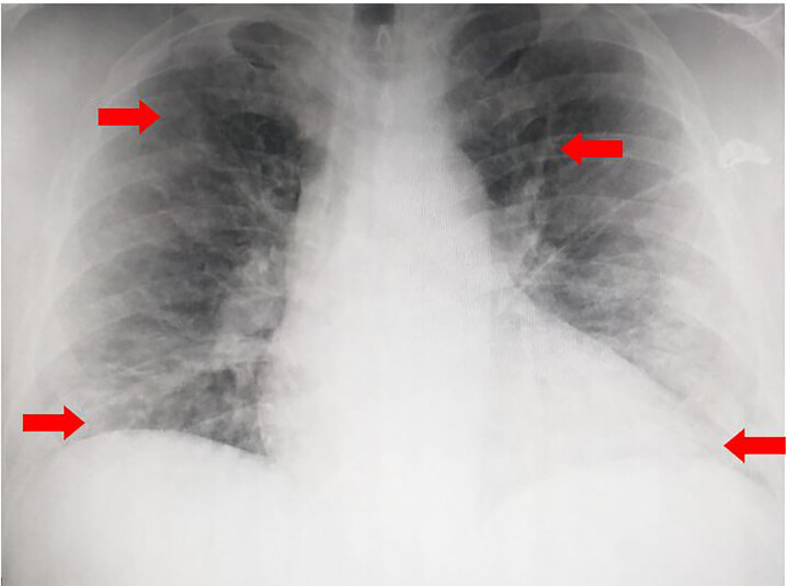
НемедицинаFigure 1. Первичная рентгенограмма грудной клетки демонстрирует умеренную отек легочных сосудов с легким, неясным двусторонним поражением дыхательных путей, вероятно, вторичным по отношению к альвеолярному отеку или аспирации (стрелки).
