Фото 1

Фото 1

Немедицина

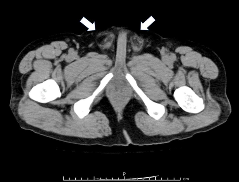
Figure 1: КТ органов малого таза, признаки острого орхоэпидидимита наблюдались в обоих яичках (белые стрелки).

Немедицина

Report Page