Фото 1

Фото 1

Немедицина

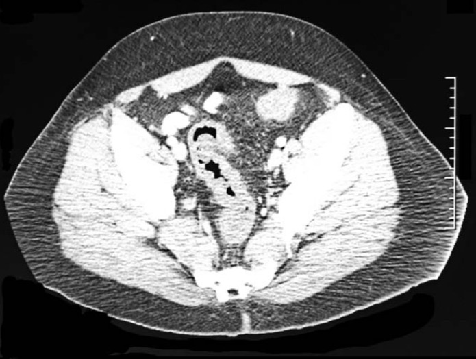
Компьютерная томография малого таза, демонстрирующая утолщение стенки сигмовидной кишки без признаков перфорации.

Немедицина

Report Page