Фото 1

Фото 1

Немедицина

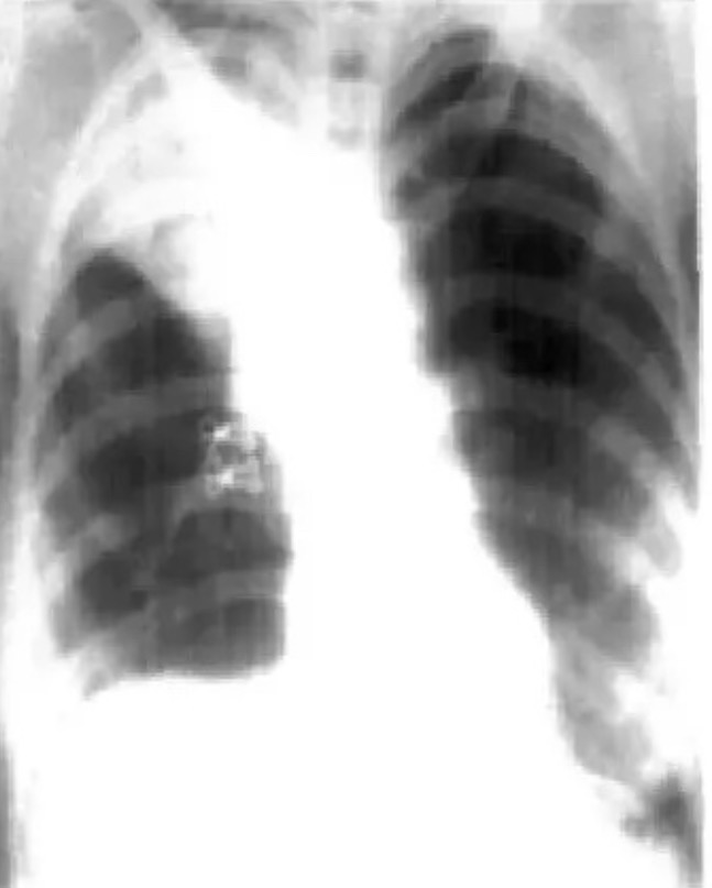
Figure 1. Рентгенограмма грудной клетки, показывающая коллапс правой верхней доли -уплотнение легкого.


Немедицина

Report Page