Фото 1

Фото 1

Немедицина

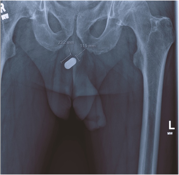
Figure 1. Rg таза показал инородное тело размером 23,2×11,5 мм в проксимальном отделе уретры.

Немедицина

Report Page