Фото 1
НемедицинаFigure 1. Магнитно-резонансная томография (МРТ) показывает полное предлежание плаценты с очаговым затемнением границы плацента-миометрий по средней линии. Плацентарная ткань соприкасается с куполом мочевого пузыря.

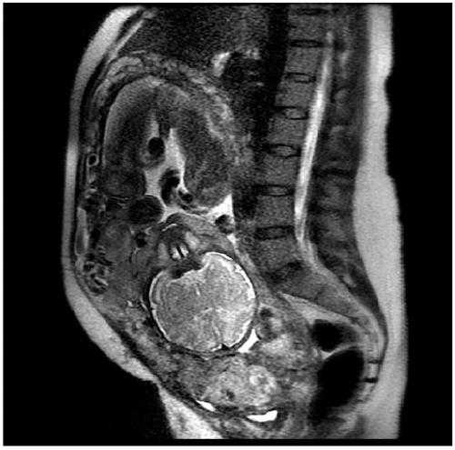
Figure 1. Магнитно-резонансная томография (МРТ) показывает полное предлежание плаценты с очаговым затемнением границы плацента-миометрий по средней линии. Плацентарная ткань соприкасается с куполом мочевого пузыря.
