Фото 1

Фото 1

Немедицина

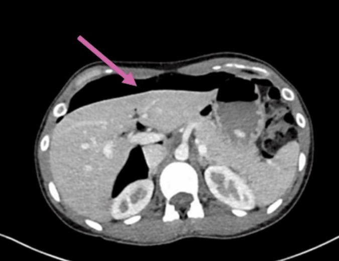
Figure 1. Компьютерная томография, демонстрирующая пневмоперитонеум; воздух отмечен розовой стрелкой.


Немедицина

Report Page