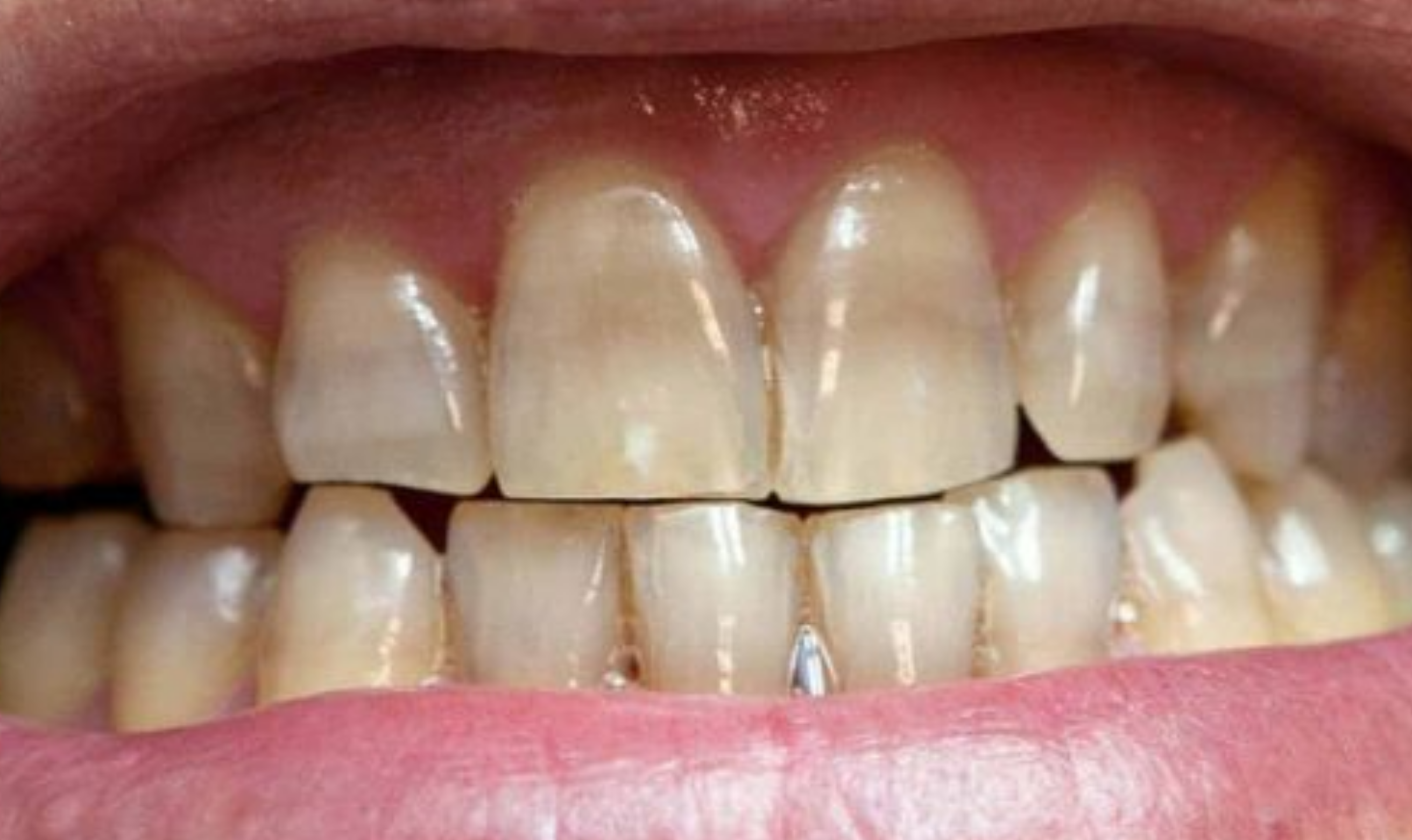
Флюороз Зубов Фото
Флюороз Зубов Фото 112 фотографий
Пол В Ванной Плиткой Фото Дизайн
Фото Спины Девушек В Контакте
Последний Звонок Картинки Для Презентации
Оцифровать Фото
Картинки Для Срисовки Карандашом Еда Милая
Сахар И Молоко Фото
Доброе Утро Летнего Четверга Картинки Красивые
Крутые Фото Спорта
Стены На Кухне Идеи Фото
Грузди В Крыму Фото











































































































