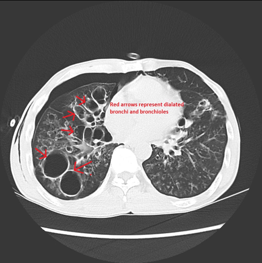
Фиброз Легких Фото Кт
Куклы Из Фетра Фото
Фото Забавных Животных В Хорошем Качестве
Цвет Покраски Кухни Варианты Фото
Шаблоны С Днем Рождения Вставить Фото
Летающая Рыба Картинки
Фальш Камин В Интерьере Гостиной Реальные Фото
Хорошего Настроения На Работе Картинки
С Днем Веры Надежды Любви Картинки
Фото Беседок С Мангалом Из Кирпича
Разновидности Каре Фото
Двухдверный Холодильник В Интерьере Кухни Фото
Фото Голых Минет
Фото Парня В Постели Без Лица
Фиброз Легких Фото Кт 114 фотографий




































































































