Femur Length Ultrasound Dating

β‘ ππ»ππ»ππ» MORE INFO CLICK HERE ππ»ππ»ππ»
Femur length (obstetric ultrasound) | Radiology Reference . . .
PDF ULTRASOUND August Volume Number Fetal size and dating . . .
Fetal Ultrasound Measurements in Pregnancy | babyMed .com
Femoral Length - fetal ultrasound
New charts for ultrasound dating of pregnancy and . . .
Femur length (obstetric ultrasound) | Radiology Reference . . .
(PDF) Fetal Size and Dating: Charts Recommended for . . .
Comparison of ultrasound femur length and biparietal . . .
PDF Automatic Detection and Measurement of Fetal Biparietal . . .
Predicting delivery date by ultrasound and last menstrual . . .
Christian Internet Dating Scams
Healthy Dating Relationships College
Tech Dating Site
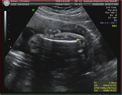
Fetal femur length (FL) is one of the basic biometric parameters used to assess fetal size . Femur length together with biparietal diameter, head circumference, and abdominal circumference are computed to produce an estimate of fetal weight . In the second trimester, this may be extrapolated to an estimate of gestational age and an estimated due date (EDD) .
Crown-rump length (6-13 weeks) Accurate dating of pregnancy is critical to the quality of the national screening programme for Down's syndrome . Whilst it is recommended practice that all pregnancies are dated by ultrasound using crown-rump length rather than menstrual dates (NICEAntenatalCareGuidelines),3 inoveralltermsthedifference
Femur length (FL) This measures the longest bone in the body and reflects the longitudinal growth of the fetus . Its usefulness is similar to the BPD . It increases from about 1 .5 cm at 14 weeks to about 7 .8 cm at term . (Chart and further comments) Similar to the BPD, dating using the FL should be done as early as is feasible . Femur length calculator
www .fetalultrasound .comΒ βΊΒ online βΊ text βΊ 3-008 .htm
A normal femur length consistent with expected age without bowing or angulation is considered adequate for screening of short limb dysplasias in a patient with no history of risk factors (1) . A femur length to foot length (on plantar view) ratio > .85 supports familial variation as the cause of a femur length less than expected (1) .
The results indicate that, up to 24 weeks of pregnancy, dating by ultrasound examination provides a better prediction of the date of delivery than does last menstrual period . The earlier the ultrasound assessment in pregnancy, preferably between 10 and 12 weeks, the better the estimate of gestational age .
Fetal femur length (FL) is one of the basic biometric parameters used to assess fetal size . Femur length together with biparietal diameter, head circumference, and abdominal circumference are computed to produce an estimate of fetal weight . In the second trimester, this may be extrapolated to an estimate of gestational age and an estimated due date (EDD) .
Ultrasound 2009;17(3):161-167 DOI: 10 .1179/174313409X448543 . . . . Femur length dating table (after Altman & Chitty) . 2 . Femur length (mm) GA (weeks z days) 50th centile 5th centile 95th centile . . .
Effective uses of the FL/BPD ratio include its use as a quality control check on femur length and BPD measurements and its use to diagnose short-limbed dwarfism, hydrocephalus, and microcephaly . Pregnancy dating by means of BPD can now be cross checked by use of femur measurements and new Observations on normal and abnormal fetal growth will now be possible .
Fetal Dating , Biparietal Diameter, Femur Length , Portable Ultrasound Machine, Automatic Measurement 1 . Introduction . Ultrasound scanning in pregnancy has become the standard for care in the high income countries (HIC) [1] . It is currently offered at week 12 or around week 18, or both .
Femur length was slightly less accurate than crown-rump length or BPD . Regression models using a combination of any two or three ultrasonic variables did not improve accuracy of prediction . When ultrasound was used instead of certain LMP, the number of postterm pregnancies decreased from 10 .3% to 2 .7% ( P < .001) .
Best Online Dating Sites For One Night Stands
Assistant Manager Dating An Employee
Dating A Younger Girl Yahoo
Meri7 Russian Dates
Speed Dating Seattle Over 40
Good Opening Lines For Dating Websites
Saying I Love You After Two Months Of Dating
Good Friends Start Dating
Dating Website Profile Picture Tips
What Is The Difference Between Radioactive Isotope And Radioactive Dating
Dating Bachelor
Ready For Love Dating
Germany Christian Dating Sites
Christian Dating True Love
20 Questions To Ask While Dating
Fat Guy Dating Hot Girl
Sytycd Lauren Dominic Dating
Absolute Dating Worksheets
Top Ten Best Dating Websites
Business Cycle Dating Nber
La Dating Blog
3 Words To Describe Yourself Dating
Dating A Transgender Woman
After Marriage Not Dating
Best Dating Websites In Singapore
Progressive Dating Site
Europe Online Dating
How Often Do Dating Websites Work
Dating Falcon Ware
What Materials Does Radioactive Dating Used To Determine The Age Of Objects
Biggest Dating Site In USA
Online Dating Girl Gives Number
10 Simple Rules For Dating My Daughter Cast
Top 20 Best Online Dating Sites
Japanese Guy Dating
Dating Tips For A Shy Girl
Setting Boundaries Christian Dating
100 Russian Dating Sites
Business Plan For Online Dating Site
100 Free Foreign Dating Sites
Dating Site Zonder Inloggen
How Long Should You Be Dating Before Getting Engaged
Speed Dating Gurgaon
Dating Autistic Boy
Philippines Dating In Saudi Arabia
Best Nickname For Online Dating
Dating Girl Acting Distant
Dating Jewelry Necklace Clasps
Dating A Guy With Ex Wife
Dating Goddess
What Is The Legal Dating Age In Idaho
Match Dating Special Offers
Exeter Ontario Dating
Dating Websites Surrey
Reliable Dating Apps
Online Dating Tips First Email
Free Senior Dating Apps
Free Dating Apps Iphone Australia
Dating Someone With Promiscuous Past
Dating 20 Years Old
Herpes Dating Louisiana
Lucas And Jenny Dating
18 Year Old Male Dating 26 Year Old Female
How To Know If My Ex Is Dating Someone
Girl I Was Dating Ignoring Me
Free Single Parent Online Dating Sites
Speed Dating Laguna Beach
My First Dating Experience
Online UK Dating Sites
Signs You Re Dating A Douche Rebel Circus
Are There Any Dating Shows On Netflix
Tips For Dating Your Coworker
Dating Sites Bury St Edmunds
Welsh Dating Websites
Lagos Nigerian Dating Scams
How To Tell If Dating Will Turn Into A Relationship
Speed Dating Newmarket
Best Dating Sites For Active Singles
Best Social Sites For Dating
Dating Guys In The Military
Dating Culture Definition
Who Are The Band Members Of One Direction Dating
Free Online Dating In Canada
65+ Dating
Smooch Free Online Dating Asp Show Question
Are Chuck And Blair From Gossip Girl Dating In Real Life
Cupid Dating Site USA
Dating Bpd Girl
Good Screen Name For Dating Site
Over 45s Dating
Truly Filipina Dating Site
Dating English Longcase Clocks
Plenty Of Fish Dating Headlines
Dating A Man In His 50s
Sara Eden Dating Agency
Date.Tz Is Not A Function
Leo Dating Aries
100 Free Online Dating Chat Rooms
Joining A Dating Site At 19
London Dating Free Website
Femur Length Ultrasound Dating































fit\u003dcover">h\u003d200">onerror\u003dredirect">w\u003d240/








1)/your-baby-is-in-perfect-health-1180167153-905da387e6704173ae3229297a4081ec.jpg">



:max_bytes(150000):strip_icc()/babyboyultrasound-7bf2ced4b4794754b67dea974b7ec744.jpg)





















/GettyImages-91797804-5900e9cd5f9b581d59015cc9.jpg)















