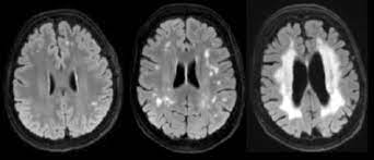
Fazekas 1 мрт что это
Как удалить страницу пользователя
Трачу на вб
Аккаунт холдика
Унылая пора очей очарованье стих текст
Клей для ремонта лобового
Первым музеем нашей страны была знаменитая
Doesn t drop anymore
Обрезка абрикоса летом для начинающих
Ремень грм опель зафира б 1.8
Группа которая пела
Видео девушка села на парня
5 benefits
Натяжные потолки линии
Fazekas 1 мрт что это 109 фотографий








































































































