Facial nerve starts to branch

π ππ»ππ»ππ» ALL INFORMATION! CLICK HERE ππ»ππ»ππ»
Facial Nerve - Wikipedia
The Facial Nerve (CN VII) - Course - Functions - TeachMeAnatomy
Point of Which the Facial Nerve Starts to Branch? - Answers
Buccal Branch of the Facial Nerve - an Overview | ScienceDirect Topics
Facial Nerve Branches (Mnemonic) | Radiology . . . | Radiopaedia .org
Facial Nerve (CN-7) - Branches, Innervation, Function and FAQs
Facial Nerve Anatomy - Course , Nuclei , Branches Etc - YouTube
Facial Nerve: Origin, Function, Branches and Anatomy | Kenhub
Facial Nerve - Functional Components- Nuclei - Course - Branches . . .
Branches Facial Nerve
haley reed prenses gibi bir kΔ±z
TΓΌrkΓ§e Karton Porno - HD Porno Δ°zle SikiΕ VideolarΔ±
michael vegas, mercedes carrera, josie jagger genΓ§ kΔ±zl
The facial nerve (the labyrinthine segment) is the seventh cranial nerve, or simply CN VII . It emerges from the pons of the brainstem, controls the muscles of facial expression . . .
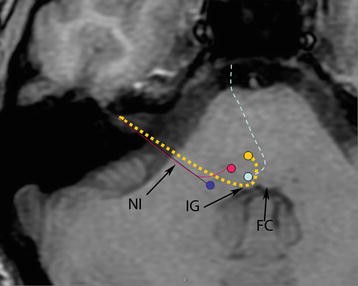
The first extracranial branch to arise is the posterior auricular nerve . The first motor branch arises within the facial canal; the nerve to stapedius . [start-clinical] .
In contrast, the nearby masticatory muscles are innervated by the mandibular nerve, a branch of thetrigeminal nerve (V) . A facial problem that starts with the ltter t is, Tregiminal Trophic syndrome .
. . .nerve appears on the non-paralyzed side, coapt the facial nerve branches to the gracilis nerve . layer is found between the overlying SMAS and the underlying branches of the facial nerve (Figs .
There are many mnemonics to recall the branches of the facial nerve (superior to inferior) as . . . Two Zulus Bit My Cat (mnemonic) Branches of the facial nerve (mnemonic)
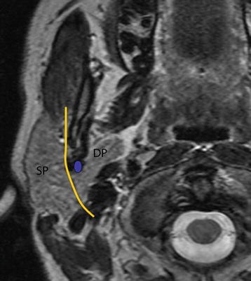
The branches of the nerve which are responsible for the various facial expressions are: 1 . Temporal branch 2 . Zygomatic branch 3 . Cervical branch 4 . Buccal branch 5 . Marginal mandibular branch .
. . .Buccal branch Marginal mandibular branch Cervical branch Function[edit] Facial expression[edit] The main function of the facial nerve is motor control of most of the muscles of facial expression .
Posterior auricular nerve, branch to posterior digastric belly, branch to stylohyoid muscle, temporal branch, zygomatic branch, buccal branch, marginal mandibular branch, cervical branch .
Facial nerve - its origin, course, branches , distibution and applied aspects . 3 .1 Branches in the facial canal . 4 Applied Aspects . 4 .1 Facial nerve lesions . 4 .1 .1 Supranuclear lesion .
notes .medicosnotes .com/2018/07/branches-facial-nerve .html
Branches facial nerve . Anatomy , cranial nerve , neurology , notes , practical notes . Stylohyoid supplies stylohyoid muscle . Branches in the Parotid region Temporofacial branch .
Girl attempts ride huge dildo pictures
Stud eats girlfriends hairy pussy
Monster of cock channel
Sadie black
Fuck me gape me
Paul hmong choua yang love fucking fan pictures
Hairy muscle butt
Pregnant daughter affair with father image
Daddy friends daughter anal creampie step pictures
Barbie saharaxx
Romi rain dimarco pulling thier
Cabin couple
Pornhub awards highlights photos
Cheated girl gets some ballsy revenge fan images
Mature eaten out
Good stiff cock daphne rosen pictures
Panty strip tease with dildo
Friend sent this
Indian sex movies best adult free photos
Shes practicing shifting
Xxx pichunter african teen best adult free image
3dxchat pretty girl suck dick beach compilations
Squirt bukakke orgys
Foot worship ebony
Amatuer white pawg fucks dick
Jordi alex
Monique kendra
Puppy bondage mask
Hustler girls sex tumblr
Handcuffed kinky blonde gets throated image
Male sex photes
Petite ebony teen jeni angel images
Amateur vlog best adult free compilation
Anal fuck trailer video
Fleshlight bdsm
Rainbow siege futa
Sexy butt babe inserts huge free porn pictures
Man humiliated women
Thong verified amateur
Turent slut tracker 2
Puts dick back creampie
Vampire chick striptease
Diggin that asshole with tounge love
Messy female orgasm
Lap creampie
Grandma stud
Tania wets her blue jeans hoses
Amateur bitch hot
Nerdy curvy nude chicks
Dont wanna sleep holding dick maromba free porn pic
Bus bangbus
Amazon teacher
Asian girls kick boys balls
Great lips blowjob image
Ebony teen ravaged white cock
Wet panties orgasm
Horning milf bitches photos
Nutt shots fired best facial
Ass fucking midget
Russian teen schoolgirl fucked school fan compilations
Petite teen brutal anal Teen Jade Jantzen. Teens porn clips
Ange venus threesome
Sexy blonde smoker needs nicotine
Quick orgasm before class
Bdsm club nyc
Loves getting pounded owned
Wife gives neighbor boy handjob
Creationism museum public blowjob free porn images
Fat anal bbw porn
Long erotic fucking tubes
Enorme seins anal
Girls strip each other best adult free xxx pic
Pussy tit boobs anal hot sexy wet teen close pic
Kira kener fucks two medics
Bathroom gym best adult free compilations
Wife records cuckholding phone hubby pictures
Bite spunk
Relax t roller vibrator
Nervous first timer doing porn pics
Horny mother enjoys riding dick best adult free compilation
Milf kora peters gets james fan image
Fuck draculas horny daughter lena free porn xxx pic
Overwatch pharah pov
Town uncovered mom
Adult live stream
Best bent over ass naked fan image
Deep painful anal scream when small
Swinging bridge hotel trafford park
Clean between toes fan compilations
Tiny4k alex grey gets tight pussy fan pic
Girl bully
Fineass rose monroe shakin cam xxx pic
Kinky shemale pops out big boobs from her pink bra and jerks
Thick riding dildo
Andies sweaty feet challenge free porn pic
Vertical joyride music compilation cumpilation heath
Free pics girls in hello city panties pussy nude
Fat hairy men nude
Got cum
Super reluctant about biggest teaser
Facial nerve starts to branch






![]()
![]()
![]()




![]()









/help-your-skin-along-809833394-740bc8ebe6e04ae8809ae4523f7ea395.jpg)

![]()









/cranial-nerves-2-1e3d489c9104495dbcc609ea188af32d.jpg)

![]()



![]()









![]()




![]()









![]()





![]()


![]()





![]()


![]()
![]()


