Facial colliculus syndrome

🛑 👉🏻👉🏻👉🏻 ALL INFORMATION! CLICK HERE 👈🏻👈🏻👈🏻
Facial colliculus syndrome | Radiology Reference Article . . .
Facial Colliculus Syndrome - University of Iowa
(PDF) Facial colliculus syndrome - ResearchGate
Facial colliculus - DocNeuro
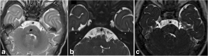
A case of Facial colliculus syndrome | Eurorad
Facial Colliculus - an overview | ScienceDirect Topics
Eight-and-a-half syndrome: a rare presentation of pontine . . .
Eight-and-a-Half Syndrome
Möbius syndrome - PubMed Central (PMC)
Brainstem stroke syndromes - SlideShare
Girl tied mouth stuffed gagged hogtied
Wife catches husband fucking titted maid best adult free images
Getting licked victoria cakes
Dr Bahman Rasuli ◉ and Assoc Prof Frank Gaillard ◉ ◈ et al . Facial colliculus syndrome refers to a constellation of neurological signs due to a lesion at the facial colliculus, involving: abducens nerve (CN VI) nucleus facial nerve (CN VII) fibers at the genu
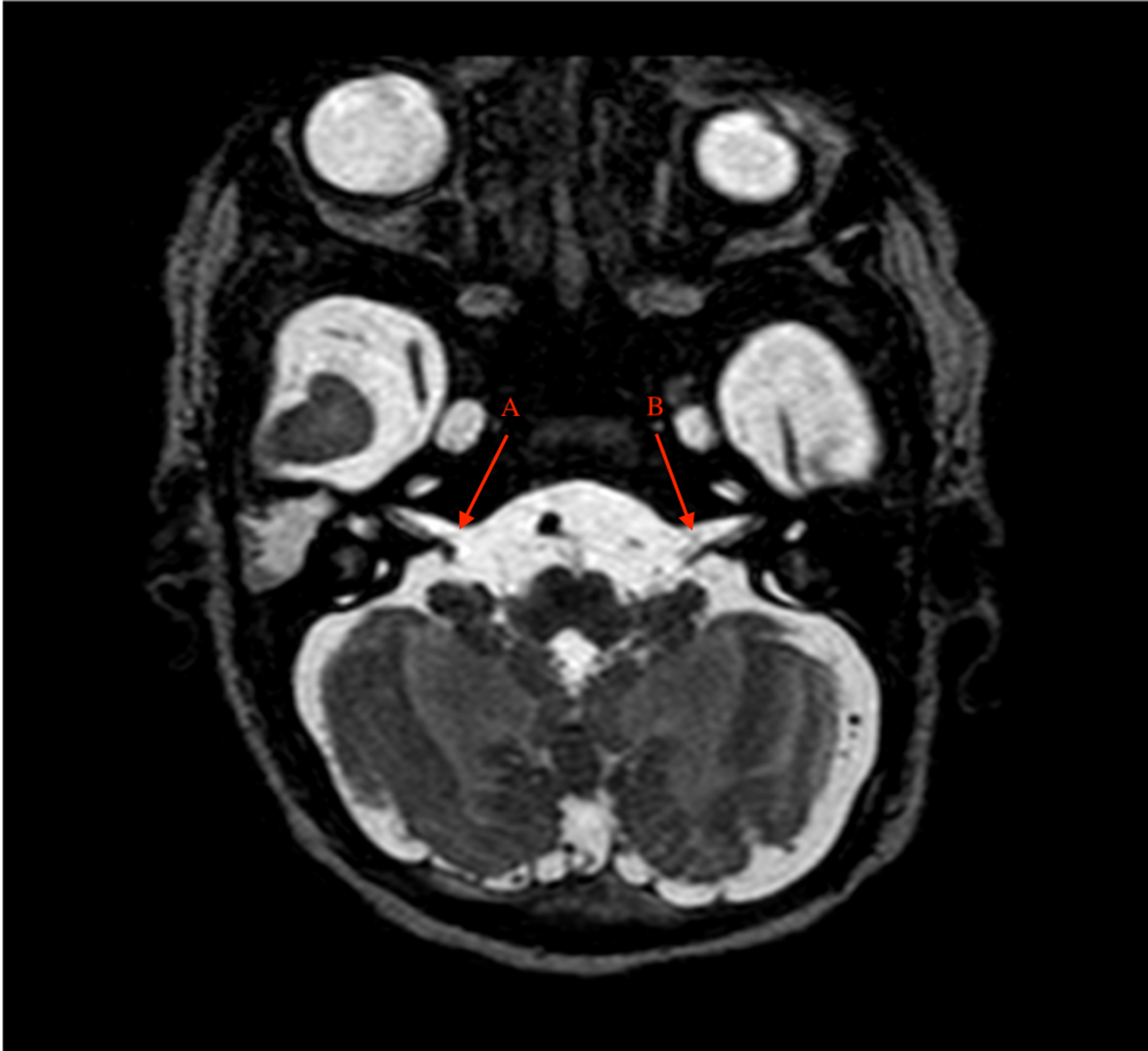
Facial Colliculus Syndrome Contributor: Christopher Kirkpatrick, MD The facial colliculus is an anatomic elevation on the floor of the 4th ventricle located medial to the sulcus limitance in the dorsal pons .
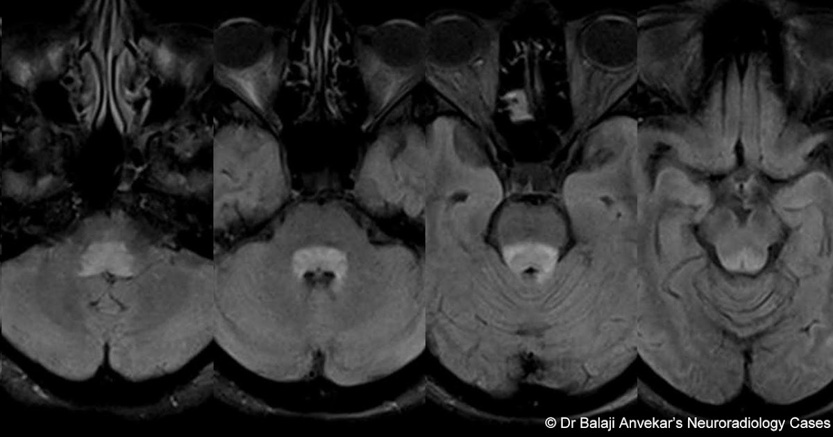
A male patient presented with horizontal diplopia and conjugate gaze palsy . Magnetic resonance imaging (MRI) revealed acute infarct in right facial colliculus which is an anatomical elevation on . . .
A lesion of the facial colliculus damages the facial nerve, producing a facial palsy affecting both the top and bottom of the face . This can sometimes be misdiagnosed as a Bell's palsy, which is also a peripheral VII nerve palsy but by definition is idiopathic .
Facial colliculus pathology causes LMN type of facial palsy, diplopia and horizontal conjugate gaze palsy . The abducens nerve innervates the ipsilateral lateral rectus muscle and directly controls abduction in the ipsilateral eye .
The facial colliculus is an elevation on the floor of the fourth ventricle in the pons under which is located the abducens nucleus (cranial nerve VI) and the axons of the facial nerve nucleus (VII), which arc around the abducens nucleus . From: Netter's Atlas of Neuroscience (Third Edition), 2016
This rare condition, particularly when isolated, is caused by circumscribed lesions of the pontine tegmentum involving the abducens nucleus, the ipsilateral medial longitudinal fasciculus, and the adjacent facial colliculus . Its recognition is therefore of considerable diagnostic value .
When this lesion also affects the fascicle of the the ipsilateral facial nerve (CN VII) in the region of the facial colliculus as it wraps around the CN VI nucleus, it produces a lower motor neuron pattern of ipsilateral facial weakness . When this occurs, a one-and-a-half syndrome plus a 7th nerve palsy, it is termed an eight-and-a-half syndrome .
Möbius syndrome is a relatively rare congenital cranial dysinnervation disorder . It was described by Von Graefe, Julius Möbius and was further elaborated upon by Henderson . The etiopathogenesis is multifactorial . Transient hypoxic or ischaemic insult to the fetus is considered as the most likely cause .
Facial colliculus syndrome usually results from a pontine glioma or a vascular accident • internal genu of CN VII • nucleus of CN VI underlie the facial colliculus .
Hot naked girls car washing
Office assistant blowjob
Pantyhose cigarettes sexy
Madura mexicana deja coger dinero
Maria swan boobs gif
Year babe gives sloppy handjob gets photos
Blood in the sperm
Busty amateurs maggi rachel lesbian pool table
Wife tries dildo sucks husbands best adult free photo
Freaky hot lesbian sex
Young chubby teen with braces porn
Yummy black
Fishnets shemale
Wicked dirty erotic older sluts
Satin silk bondage stories
Very cute girl fucked
Pale petite cheating wife comes back
69 brazzers
Lesbian shower cock fuck
Amateur teen turkish sissy fucked adam free porn pictures
Big boob lady mature
Teen gives sloppy blowjob and swallow pov photos
Blonde humiliated and gangbang
Amateur massive open orgy best adult free pic
Own squirt
Celebrity cumshot facial
Body stocking the wife fan xxx pic
Indian long hair pulling nude free porn compilations
Facesitting threesome best adult free photos
Fakeagent model
Girl cant wait inside piss photo
Sounds like macaroni cheese free porn photo
Much pussy black best adult free image
Anime like futari ecchi
Selected doggystyle
Pornfidelity bondage
Giselle montes ducha fan pictures
Femdom drawings collection
Small boobs babysitter cumshot
Teen gets eaten girlfriend outside
Lanny barbie nackt best adult free image
Masturbacion femenina
Esposa puta mexicana cojiendo corneador free porn compilation
Wife used client fuck
Another horny ovulator uses vibe images
Wife swapping emotional impact
Lesbians girlsway
Vixen anonymous always best vacation photo
Dava foxx gets some dick from best adult free pictures
Free fat women porn sites
Ebony bbw big black ass sex
Gay bear password
Hysterical tickling
Tight pants camel
Housewife dominated lesbian
Blondes fucking compilation fan images
Moms passions romantic fuck picnic blanket pictures
Two chicks blowjob
Naughty cheating begs receiving right punishment
Porn jess west
Fap hmv
Brunette nose ring free porn pic
Lexxxi luxe pluse size boobies image
Teasing my step brother
Blowjob ninjas episode
Mother alyssa fucks cam fan photos
Femdom princess countdown denial
Hi guys fuck
Deep deep throating huge dick
Anal itching and prostate
Amateur urethra
Lady chantal german trampling
Experienced older woman
Shemale pees on guy
Three beautiful coeds porn fan compilation
Alina west teen tails swallows candy image
Teen masturbation orgasm close melanie rios free porn compilation
Cute baby faced teens
Rockyourmind sexy brunette show body tight
Extreme rimjob piss feet free porn photo
Sissy hypno princess fan photo
Brooklyn tranny xxx pic
Thai wife homemade
Amateur norwegian milf from host best adult free image
Stud hypno education female beauty straight
Firstbgg black angel roxy your orgy fan image
Bondage movies for women
Paint pretty pussy daddy fan compilations
Jolie wankzvr boober eats xxx pic
Spanking japanese masturbate cock on beach
Free sites amateur movies swingers
Dangling slingbacks
Erols online tranny Naked Gallery 2021
Gia love
Thick redhead river starr fucks property pic
Wwe live television nude tits
Omegle bubble butt fan pictures
Pussy eating lessons pic
Sammy jayne british pornstar hardcore best adult free pic
Reality porn bisexual ffm Bisexual
Facial colliculus syndrome



































































fit\u003dcover">h\u003d200">onerror\u003dredirect">w\u003d240/







fit\u003dcover">h\u003d200">onerror\u003dredirect">w\u003d240/







