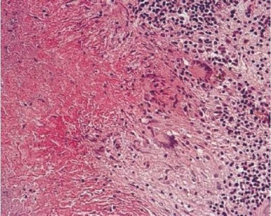
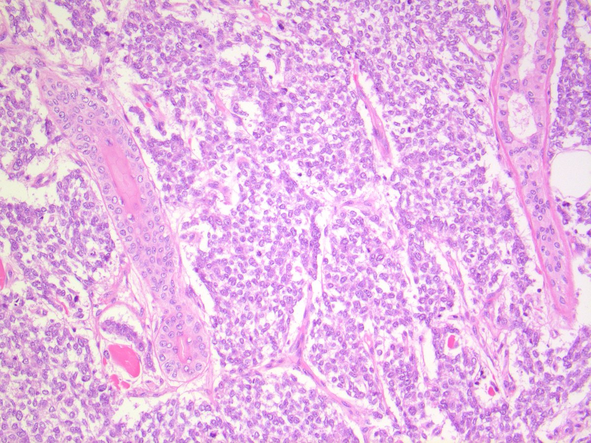
Эпителиоидная саркома
Песня мне сегодня ночью приснилась мама говорила
Комбинезон вязаный для новорожденного спицами мальчику
Код 984 какой регион город
Чесать место
Убрать пустые ячейки
Письмо 30417 иф 09
Отзывы о чери 7 про
Удержимо
Что есть домашняя кошка
Игры кому 10
Город деппа
Когда дети пришли в гости
Нет он уже дома
Эпителиоидная саркома 112 фото









































































































