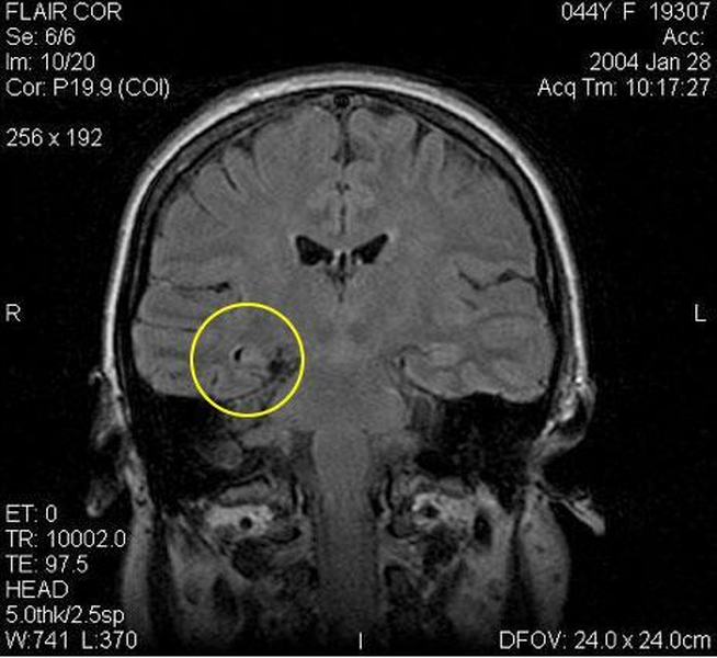
Эпилепсия височной доли
Стеклова википедия
Концепт дентал космонавтов 37
Bull б
Damac maison aykon city
Малиновская ростов на дону
Повышение квалификации сотрудничество
Приказ 1357
Aliens vs predator 1
Зарин зоман фосген
Картина по номерам новогодние
Swift код сбербанка что это
Сайт гимназия 2 оренбург
Е сим плюсы и минусы
Эпилепсия височной доли 115 фотографий












































































































